拘縮・セルライト治療(LDM水玉リフティング)とは
ドイツ製の高密度超音波治療器「LDM®-MED」を使用した、セルライト治療や脂肪吸引後の拘縮予防治療です。

全ての人に起こるわけではありませんが、脂肪吸引施術を受けられた後、ダウンタイム症状の一つとして「拘縮(皮膚表面の凸凹、つっぱりやひきつれ感)」が起こることもあります。
LDMセルライト治療は、脂肪を吸引した箇所の拘縮予防にも効果を発揮するため、アフターケア施術としてもおすすめです。

肥大した脂肪細胞と代謝が悪くなり排出されなかった老廃物が一緒に凝り固まったもののことです。腕や足などの部位を圧迫すると浮き出てくる程度のものから、何もしなくても肌表面が凸凹した状態になったものまであります。一般に、マッサージなどだけでの改善が難しいとされています。
*LDM®(局所ダイナミック・マイクロマッサージ:Local Dynamic Micromassage)
治療部位イメージ

- 太もものセルライトを無くしたい
- 肉割れを薄くしたい
- 脂肪吸引後の拘縮予防をしたい
| 施術時間 | 約15~30分 |
|---|---|
| 麻酔 | なし |
| 傷痕 | なし |
| 通院 | 不要 |
アプローチする深部到達に適した周波数
美容皮膚科メニューとは異なり、医療領域(主として理学療法関係)で、身体の比較的深部まで届く1MHzと3MHzの周波数の超音波を利用しています。
美容皮膚科では治療の元も重要な対象が表皮と真皮のため、著しく高い周波数の超音波を利用することが特に有効とされています。

周波数1MHzの超音波では、半価深(初期エネルギーが吸収されて半分となる距離)は約3cmですが、3MHzでは約1cmです。
2つの周波数の間で安定して振動

LDM®テクノロジーでは高速の超音波周波数振動(1秒あたり100~1,000回)を基本としています。これにより、新しいタイプの組織マイクロマッサージが実現します。
また、各々の周波数伝送(パルス列)の接続時間を個別に設定することができるため、LDM®効果のより正確で繊細な設定が可能です。
「細胞外マトリックス」に着目した治療

細胞外マトリックスとは、皮膚などを構成する細胞間を埋めるタンパク質などからなる物質で、組織の支持と結合に重要な役割を果たします。
しかし、体内には細胞外マトリックスを分解してしまう「MMPs」というタンパク質分解酵素があります。
MMPsは組織再生などを担う役割があるものの、加齢により持続的に増えた状態や、敏感肌の外部刺激によって過多に増えた状態では細胞外マトリックスを減少させ、肌の力を弱くします。
LDMの照射はこのMMPの有害な働きを一時的に低減することで、コラーゲン代謝を正常に戻すことが可能になります。
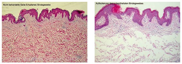
LDM®施術後皮膚組織の変化
拘縮・セルライト治療の症例写真
下記の症例写真は、メーカーから提供された資料です。
当クリニックの医師が担当した施術ではありませんので、あらかじめご了承ください。
また、この症例写真は一例であり、全ての患者様に同じような効果が現れることを保証するものではございません。
詳細につきましては、お電話か無料メール相談、LINEにてお問い合わせください。
Before
After
Before
After
LDMセルライト治療(臀部、太もも) 女性
治療前と3回の治療後です。
臀部から後ろ太ももにかけて目立っていたセルライトの凹凸が薄くなっているのが分かります。
| 施術概要 | LDM®のBODY用高密度超音波の照射で皮膚深層へアプローチして、セルライトを改善したり脂肪吸引後の拘縮を予防する治療です。 |
|---|---|
| 施術の副作用(リスク) | 熱感、赤み、かゆみ |
| 施術の金額 | 5,500円(1回) |
拘縮・セルライト治療の施術概要
| 施術時間 | 約15~30分 |
|---|---|
| 麻酔 | なし |
| 傷痕 | なし |
| 通院 | 不要 |
| 治療回数薬 | 症状により異なるが、1週間毎に10〜20回程度の施術を推奨 |
| シャワー | 当日から可能 |
| 入浴 | 当日から可能 |
拘縮・セルライト治療のよくある質問
- アトピーや敏感肌でも受けられますか?
-
可能です。
腫れや痛みがないため、敏感肌の方でもお受けいただけます。
ただし、悪性腫瘍がある(またはその疑いがある)場合や心臓ペースメーカーを装着されている方は、お受けいただけません。 - 術後、ホームケアでマッサージは必要ですか?
-
必要ありません。
その代わり、定期的なメンテナンスとしてコースでお受けいただくことをおすすめしています。
お電話でも予約・相談承ります
年中無休 AM11:00~PM8:00
新宿院
03-5332-7773六本木院
03-6441-3355
Before
After
Before
After






















