こんばんは。
新宿ラクル美容外科クリニックの山本厚志です。
本日も、朝から夜まで手術および処置が続く一日となりました。
ご来院くださった皆さまに、心より感謝申し上げます。
また、本日は大阪府、三重県、静岡県からのご来院があり、
遠方より足を運んでいただけることを医師として大変ありがたく感じております。
一件一件の症例に、丁寧に向き合いながら診療を行っております。
混み合う日が続いておりますので、しっかりと集中して臨みたいと思います。
明日も、どうぞ宜しくお願い致します。
今日は、「目頭切開+目尻切開」の術後経過をご紹介いたします。
目頭切開+目尻切開の症例ご紹介
小さいお目元のご印象を気にされて、カウンセリングにご来院されました。
左右の目頭の距離は37㎜でした。
当院では、左右の目頭の距離が35㎜以上離れていて、ご本人が気にされている場合は、
リスクもご説明した上で手術のご案内をしています。
目頭切開も目尻切開も、やりすぎるとお顔のバランスがおかしくなるので、
ほどほどの手術を心がける方が仕上がりが良いと思います。
症例のご紹介【ダイジェスト版】-手術前と手術後12ヶ月目の変化
まずは、ダイジェスト版でご紹介いたします。
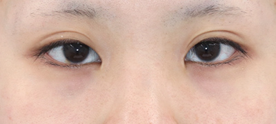
10代女性の手術前のご状態です。
内眼角距離は37㎜とやや離れている程度でしたが、蒙古ひだのかぶりが強く、開瞼を邪魔していると思われました。目尻切開も併用して、目を大きくされたいとのご希望でした。バランスの良いお目元に仕上げていきたいと思います。
手術後12ヶ月目の変化です。
「目頭切開」では、目頭の距離を小さくして寄せるというより、蒙古ひだによるツッパリを弱くすることを目的にして手術を行っています。
「目尻切開」では、内部の処理を確実に行い、後戻りが少なくなるように手術を行っています。
傷が治る期間(創傷治癒期間)が3~6ヶ月なので、術後1年の経過まで見たら、後戻りがあるかどうか、お分かりになるかと思います。


続きまして、斜めからのご状態をご覧いただきます。
手術前のご状態です。
蒙古ひだの被りが強いと、開瞼が妨げられている場合があります。大きな目になりたいとのことでしたので、「目頭切開」と「目尻切開」で、バランスを考えて調整していきたいと思います。
手術後12ヶ月目の変化です。
目頭切開は、「ミニW法(ラクルで勝手にそう呼んでいる)」で、目頭を真横に移動させるイメージで手術を行うケースが多いですが、
もちろん、Z形成もリドレープ法も対応可能です。
この方のお目元の良さを潰さないように気を付けて手術を行っています。


次に、反対側の斜めからご覧いただきます。
手術前のご状態です。
瞼裂幅(目頭から目尻までの距離)に対して、目頭間の距離がやや長く、蒙古ひだの被りが強いご印象です。
手術後12ヶ月目の変化です。
この方の場合、「目頭切開(Z形成)」を行うと、目頭が斜め下に延長して、きついご印象のお目元になりそうでしたので、「ミニW形成」を採用しました。目尻切開も単体で行いましたが、割としっかり変化が出ていると思います。


施術概要(目頭切開)
- 施術概要
- 上まぶたの内側から目頭にかけて覆いかぶさっている皮膚(蒙古ひだ)を取り除く施術です。
- 施術の副作用(リスク)
- 腫れ(腫脹)、皮下出血、痛み、感染、眼症状(目の違和感、涙の増加など)、傷痕、しこり
- 施術の金額
- 113,850円(片側)~187,000円(両側)(税込)(記事掲載時)
施術概要(目尻切開)
- 施術概要
- 目尻を外側に向かって切開し、皮膚と結膜を縫合し目の幅を広げることで大きな目元を作り出す施術です。
- 施術の副作用(リスク)
- 腫れ(腫脹)、皮下出血、痛み、感染、眼症状(目の違和感、涙の増加など)、傷痕、しこり
- 施術の金額
- 198,000円(税込)(記事掲載時)
目頭切開について
目頭切開は、こんな方におススメです。
「目頭切開」は、こんな方におススメです。
- 目と目が離れて見える方
- 平行型の二重になりたい方
- 切れ長の目の印象になりたい方
- 二重の手術を受けたが、希望する平行型にならない方
目頭切開とは?
「目頭切開」とは、
上まぶたの内側から目頭にかけて覆いかぶさっている皮膚(蒙古ひだ)を取り除く施術です。蒙古ひだを取り除くことで、切れ長でパッチリとした印象の目元になります。
小さな目を大きくしたい、目と目が離れて見える、平行型の二重になりたい、切れ長の目になりたい、二重の手術を受けたが希望する平行型にならないなどのお悩みにオススメの施術です。
「目頭切開」について詳しくは、新宿ラクル美容外科クリニックオフィシャルサイト「目頭切開」のページをどうぞ。
モニター募集のお知らせ(目頭切開)
当院では、ただ今、「目頭切開」のモニター様を募集しております。
「目頭切開」
部分モニター様 154,000円(税込)(記事掲載時)
ご興味のある方は、ご相談にいらしてください。
目尻切開とは?
「目尻切開」とは、
目尻を外側に向かって切開し、皮膚と結膜を縫合し白目の部分を広げることでパッチリとした大きな目元を作り出す施術です。目尻切開と目頭切開を併用する事で、より効果がでます。
目を大きくしたい方、切れ長の目にしたい方、つり目を和らげ優しい目元にしたい方にオススメの施術です。

また、この目尻切開の手術で目尻の外側の靭帯の緊張が緩む事により、目尻が下がる為、さらに下眼瞼下制術(たれ目術)と併用すると、優しい印象の目元になります。
「目尻切開」について詳しくは、新宿ラクル美容外科クリニックオフィシャルサイト「目尻切開」のページをどうぞ。
モニター募集のおしらせ(目尻切開)
当院では、ただ今、「目尻切開」のモニター様を募集しております。
「目尻切開」
部分モニター様 165,000円(税込)(記事掲載時)
ご希望のある方は、お問い合わせくださいませ。
症例のご紹介【通常版】-手術前から現在までの経過
続きまして、通常版でご紹介いたします。
10代女性の手術前のご状態です。
目頭間の距離は37㎜とやや離れている程度でしたが、蒙古ひだのかぶりが強く、開瞼を邪魔していると思われました。目尻切開も併用して、目を大きくされたいとのご希望でした。バランスの良いお目元に仕上げていきたいと思います。
デザインです。
手術直後で腫れがあり、糸の突っ張りもあるため、開瞼しづらい状況です。
手術直後の変化です。
目頭と目尻に縫合した糸がついているご状態です。目頭側の糸は目立ちますが、目尻側の糸はあまり目立たないと思います。
手術後1週間目のご状態です。
抜糸直後のご状態です。赤みがありますが、翌日からメイク可能なので、外出は可能だと思います。
手術後1ヶ月目の変化です。
目頭切開と目尻切開により、目が開きやすくなっています。お傷痕はかなり分からなくなりました。まつげの損傷も無く、赤い眼瞼結膜が見えたりもしていません。
手術後2ヶ月目のご状態です。
「目頭切開」と「目尻切開」により、目の横幅が広がりました。「目尻切開」は横方向に延長する手術で、つり目を改善したい場合は、「目尻拡大術」が適応になります。
手術後3ヶ月目の変化です。
目頭切開のお傷痕は徐々に目立たなくなって来ました。目尻側の頑健結膜(白目)の面積が広くなりました。
手術後6ヶ月目のご状態です。
「目頭切開」により、内眼角幅(目頭間の距離)が小さくなっただけでなく、黒目より内側の白目が上側に広がりました。
「目尻切開」により、黒目の外側の白目の面積が広がりました。
手術後12ヶ月目の変化です。
「目頭切開」では、目頭の距離を小さくして寄せるというより、蒙古ひだによるツッパリを弱くすることを目的にして手術を行っています。
「目尻切開」では、内部の処理を確実に行い、後戻りが少なくなるように手術を行っています。
傷が治る期間(創傷治癒期間)が3~6ヶ月なので、術後1年の経過まで見たら、後戻りがあるかどうか、お分かりになるかと思います。
続きまして、斜めからのご状態をご覧いただきます。
手術前のご状態です。
蒙古ひだの被りが強いと、開瞼が妨げられている場合があります。大きな目になりたいとのことでしたので、「目頭切開」と「目尻切開」で、バランスを考えて調整していきたいと思います。
デザインです。
手術直後で腫れがあり、糸の突っ張りもあるため、開瞼しづらい状況です。
手術直後の変化です。
手術直後で腫れています。極細の糸を使用していますが、血が滲むと黒っぽく見えます。抜糸までは軟膏処置をしっかりとお願いしています。
手術後1週間目のご状態です。
抜糸直後で赤みが残ります。眼球結膜の充血は、抜糸後、数日程度で引いていきます。
手術後1ヶ月目の変化です。
目尻方向にも、目頭方向にも目が広がり、目の開きが良くなっています。お傷痕はこれから徐々に目立たなくなっていきます。
手術後2ヶ月目のご状態です。
「目頭切開」により、蒙古ひだの突っ張りが改善しています。「目尻切開」により、目尻側の白目の面積が広がりました。
手術後3ヶ月目の変化です。
横から見ても、内眼角幅(目頭間の距離)が小さくなりました。目尻側にも白目が広がり、目が大きくなりました。
手術後6ヶ月目のご状態です。
目頭切開のお傷痕がかなり目立たなくなってきました。目尻切開のお傷痕は、ほとんど分からなくなりました。
手術後12ヶ月目の変化です。
目頭切開は、「ミニW法(ラクルで勝手にそう呼んでいる)」で、目頭を真横に移動させるイメージで手術を行うケースが多いですが、
もちろん、Z形成もリドレープ法も対応可能です。
この方のお目元の良さを潰さないように気を付けて手術を行っています。
次に、反対側の斜めからご覧いただきます。
手術前のご状態です。
瞼裂幅(目頭から目尻までの距離)に対して、目頭間の距離がやや長く、蒙古ひだの被りが強いご印象です。
デザインです。
手術直後で腫れがあり、糸の突っ張りもあるため、開瞼しづらい状況です。
手術直後の変化です。
手術直後で腫れがあり、糸の突っ張りもあるため、開瞼しづらい状況です。
手術後1週間目のご状態です。
抜糸直後から、縫合で引っ張られている緊張がゆるむため、開瞼が容易になります。
手術後1ヶ月目の変化です。
目頭切開も目尻切開も、お傷痕は早くも目立たなくなってきました。良い変化になりました。
手術後2ヶ月目のご状態です。
「目頭切開」により、蒙古ひだの被さりが軽減しています。「目尻切開」により、目尻側に白目が広がっています。
術前と比較して、お目元のご印象が良くなりました。
手術後3ヶ月目の変化です。
目頭切開も目尻切開もお傷痕はほとんど分からなくなりましたが、術前と比べると、しっかりと変化が出ています。
手術後6ヶ月目のご状態です。
目頭切開と目尻切開を併用することで、目の横幅が広がり、目が大きい印象へ変わります。
手術後12ヶ月目の変化です。
この方の場合、「目頭切開(Z形成)」を行うと、目頭が斜め下に延長して、きついご印象のお目元になりそうでしたので、「ミニW形成」を採用しました。目尻切開も単体で行いましたが、割としっかり変化が出ていると思います。
お知らせ
キャンペーンのお知らせ
ただ今、1月のおすすめ治療を行っております。
宜しければ、チェックしてみてください。
六本木院勤務日のおしらせ
ちなみに、私は2月3日、10日、17日、24日、3月3日、10日、17日、24日、31日は六本木院勤務になります。
マシン治療やオペ、注入も、新宿院とほぼ同じ施術が可能です。
宜しければいらっしゃって下さい。
当院のホームページについて
当院のホームページでは、他の施術もたくさん紹介しています。
ご興味のある方は、宜しければ、ご覧になってみてください。
当院のホームページは、
新宿ラクル美容外科クリニックのオフィシャルサイトでご覧いただけます。
また、当院の「公式Instagram」も宜しければご覧下さい。






