おはようございます。
新宿ラクル美容外科クリニックの山本厚志です。
昨日も朝から夜まで手術が続き、大変忙しい一日を過ごすことが出来ました。
沢山のご来院、大変ありがとうございました。
まだまだゴールデンウイークは続きますので、
集中して臨みたいと思います。
本日も、どうぞ宜しくお願いいたします。
今日は、「涙袋形成」をご紹介いたします。
涙袋形成の症例ご紹介
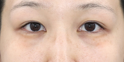
今回の症例は、20代女性です。
もともとお目元はパッチリとした二重ですが、涙袋を作って、柔らかいお目元にされたいとのことでした。
ナメクジにしない程度にハッキリと涙袋を作りたいとのご希望でした。
症例のご紹介
20代女性、施術前のご状態です。
もともと涙袋は少しあるようにも見えますが、もう少しはっきりした涙袋を作ることをご希望されていました。
施術直後の変化です。
皮下出血もなく、左右差もほとんど分からないご状態です。お目元のご印象が優しい感じに変わりました。


中央の丸を左右に動かしてみてください。
施術概要(涙袋形成)
- 施術概要
- 下まぶたのふくらみにヒアルロン酸を注入することでぷっくりとした涙袋を形成する施術です。
- 施術の副作用(リスク)
- 皮下出血、痛み、つっぱり感、熱感、注入後のしこり、軽度の腫れ、感染、あざ、肌に凹凸ができる、血流障害、痒み。
- 施術の金額
- 33,000円(両側)(税込)(記事掲載時)
涙袋形成について
涙袋形成は、こんな方にオススメです。
「涙袋形成」は、こんな方におススメです。
・涙袋をふっくらさせて優しいご印象にしたい方
・目を大きくみせたい方
・やわらかい印象をお目元に与えたい方
涙袋形成とは?
「涙袋形成」とは、
涙袋とは下まぶたのふくらみのことで、ここにヒアルロン酸を注入することでぷっくりとした涙袋を形成できます。
涙袋は、目を大きく見せる、やさしい印象を持たせるなど、お顔の印象を変えることができます。個人差はありますが、涙袋は吸収されにくいため、一度の注入で半年~1年間、効果が持続します。
もともと涙袋のある方と無い方がいらっしゃいますが、
マジックニードルという特殊な針を使用して、眼輪筋前組織の深さに均一にヒアルロン酸を注入していくと、
もともと涙袋がある方と同じような形を作ることが可能です。
マジックニードルを使用することで、皮下出血のリスクを抑えることが可能です。
ただし、涙袋は注入しすぎると、ナメクジみたいになってしまうので、注意が必要です。
一般的には、目頭側から目尻側にかけて、少しずつ広がるように形を作ると綺麗に仕上がります。
逆に目頭側にボリュームが出すぎると、目の下が腫れているように見えてしまいます。
また、あまり目尻側にボリュームを入れすぎると、涙袋として膨らませたところが、下側のまつ毛から離れていってしまうので、
不自然さが増していきます。
涙袋をふっくらさせてご印象を変えたい方、目を大きくみせたい方、やわらかい印象を与えたい方にオススメの施術です。
お知らせ
モニター募集のお知らせ
ただ今、当院では、
「涙袋形成」のモニター様を募集しております。
ご希望のある方は、お問い合わせくださいませ。
「涙袋形成」について詳しくは、新宿ラクル美容外科クリニックオフィシャルサイト「涙袋形成」のページをどうぞ。
キャンペーンのおしらせ
ただ今、5月のキャンペーンを行っております。

宜しければ、チェックしてみてください。
六本木院勤務日のおしらせ

ちなみに、私は5月8日、15日、22日、29日、6月5日、12日、19日、26日は六本木院勤務になります。
マシン治療やオペ、注入も、新宿院とほぼ同じ施術が可能です。
宜しければいらっしゃって下さい。
当院のホームページについて
当院のホームページでは、他の施術もたくさん紹介しています。
ご興味のある方は、宜しければ、ご覧になってみてください。
当院のホームページは、
新宿ラクル美容外科クリニックのオフィシャルサイトでご覧いただけます。
また、当院のスタッフブログもありますので、
宜しければれば「ラクル女子部のブログ」もご覧下さい。





