こんばんは。
新宿ラクル美容外科クリニックの山本厚志です。
本日も、朝から夜まで手術および処置が続く一日となりました。
ご来院くださった皆さまに、心より感謝申し上げます。
また、本日は、福岡県、大阪府からのご来院がありました。
ご遠方からのご来院、とても励みになります。
混み合う日が続いておりますので、しっかりと集中して臨みたいと思います。
明日も、どうぞ宜しくお願い致します。
「目尻拡大術」の術後経過をご紹介いたします。
目尻拡大術の症例ご紹介
症例は、30代女性です。
目尻拡大術を行って、つり目の印象を改善したい、とのご希望でした。
お目元の手術歴は、特にないとのことでした。
症例のご紹介【ダイジェスト版】-手術前と12ヶ月目の変化
始めに、ダイジェスト版でご紹介いたします。
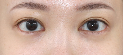
30代女性の手術前のご状態です。
「目尻拡大術」で目尻側の上りを下げて、優しい印象に変えていきたいと思います。
手術後12ヶ月目の変化です。
「目尻拡大術」により、白目が外方向に広がったことで、求心顔のご印象が改善しています。


斜めからの変化も、ご紹介します。
手術前のご状態です。
「目尻拡大術」で目尻が外側と下側に広がると、優しい印象の目に変わると思います。
手術後12ヶ月目の変化です。
目の下のボトムラインの外側が下がったことで、優しいお目元に変化しています。また目が大きくなりました。


反対側の変化も、ご紹介します。
手術前のご状態です。
目尻側の上がりが改善すると、優しいご印象になると思われました。
手術後12ヶ月目の変化です。
目を大きく見せたい、求心顔を改善させたい、釣り目の印象を緩和したい、という方には「目尻拡大術」がお勧めです。


施術概要(目尻拡大術)
- 施術概要
- つり上がっている目尻を、外方向と下方向に拡大して、自然で優しいお目元にする手術です。
- 施術の副作用(リスク)
- 腫れ(腫脹)、皮下出血、痛み、感染、眼症状(目の違和感、涙の増加など)、傷痕、しこり
- 施術の金額
- 440,000円(税込)(記事掲載時)
目尻拡大術とは
「目尻拡大術」とは、
目尻の三角形の形を保ちながら、目尻側の白目を外側と下側に拡大することで、つり目の印象を優しく変える手術です。
たれ目にはしたくないけど、目尻側に目を拡げるのと併せて目の縦幅を大きくしたい、という方に人気です。
モニター募集のお知らせ
当院では、ただ今、「目尻切開法」のモニター様を募集しております。
「目尻拡大術」
部分モニター様 400,000円(税込)(記事掲載時)
ご希望のある方は、お問い合わせくださいませ。
「目尻拡大術」について詳しくは、新宿ラクル美容外科クリニックオフィシャルサイト「目尻拡大術」のページをどうぞ。
症例のご紹介【通常版】-手術前から現在までの経過
続きまして、通常版でご紹介いたします。
30代女性の手術前のご状態です。
「目尻拡大術」で目尻側の上りを下げて、優しい印象に変えていきたいと思います。
手術直後の変化です。
眼球結膜(白目)に糸の断端が当たらないように、糸は外側にステリーでとめています。
手術後1週間目のご状態です。
目尻が外側+下方向に広がったことで、目尻側の白目が拡大しました。抜糸が終わったばかりで、まだ赤みがありますが、これから徐々に目立たなくなっていきます。
手術後1ヶ月目の変化です。
術後1週間目よりも、目尻側の眼球結膜(白目)の赤みが引いてきました。目尻側のボトムラインのつり上がりが下がり、お目元のご印象が優しくなりました。
手術後2ヶ月目のご状態です。
たれ目にしたい訳ではないけど、外側に白目を広くしたいという、求心顔の方に適した手術になります。
手術後3ヶ月目の変化です。
目尻側のボトムラインが下がり、目尻が外側に拡大したことで、白目が大きくなり、お目元のご印象が変わりました。
手術後6ヶ月目のご状態です。
目尻側に白目が広がり、黒目よりも外側のボトムラインが下がったことで、目が大きい印象に変化しました。
「目尻拡大術」により、白目が外方向に広がったことで、求心顔のご印象が改善しています。
斜めからの変化も、ご紹介します。
手術前のご状態です。
「目尻拡大術」で目尻が外側と下側に広がると、優しい印象の目に変わると思います。
デザインです。
下まつげが損傷しないように気を付けて手術を行っていきます。
手術直後の変化です。
手術直後で糸がついています。目に当たると痛いので、糸は長めに切って目尻側にとめています。
手術後1週間目のご状態です。
抜糸直後のご状態です。目尻拡大術により、白目が外側に広がり、お目元のご印象が変わりました。
手術後1ヶ月目の変化です。
目尻側のつり上がりが下がり、目尻が外側に広がっています。お顔の中の目のバランスがとてもよくなりました。
手術後2ヶ月目のご状態です。
ボトムラインが下がり、目尻側に広がったことで、術前と比較して優しいご印象に変わりました。
手術後3ヶ月目の変化です。
目尻の部分の白目が外側に広がり、ボトムラインが下がったことで、優しい雰囲気のお目元に変化しています。
手術後6ヶ月目のご状態です。
同じ角度の写真ですが、目尻側の白目の面積が広がりました。
手術後12ヶ月目の変化です。
目の下のボトムラインの外側が下がったことで、優しいお目元に変化しています。また目が大きくなりました。
反対側の変化も、ご紹介します。
手術前のご状態です。
目尻側の上がりが改善すると、優しいご印象になると思われました。
デザインです。
このようにデザインしています。これからしっかりと変化を出していきたいと思います。
手術直後の変化です。
まつ毛の近くを極細の糸で丁寧に縫合しています。
手術後1週間目のご状態です。
お傷痕に赤みや腫れが残りますが、これから徐々に目立たなくなります。
手術後1ヶ月目の変化です。
目尻側のつり上がりが下がり、優しいお目元になりました。目尻が外側に広がることで、お顔の中の目のバランスがとても良くなる方が多いです。
目尻側に白目が広がって、目が大きく変化しています。たれ目になっている訳ではないですが、目尻側に白目が拡大しています。
手術後3ヶ月目の変化です。
白目が外側に広がり、求心顔が改善しています。お傷痕はほとんど分からなくなっています。
手術後6ヶ月目のご状態です。
術後半年が経過して、お傷痕はかなり目立たなくなってきました。目の印象が変わりました。
手術後12ヶ月目の変化です。
目を大きく見せたい、求心顔を改善させたい、釣り目の印象を緩和したい、という方には「目尻拡大術」がお勧めです。
お知らせ
キャンペーンのおしらせ
ただ今、2月のおすすめ治療を行っております。
宜しければ、チェックしてみてください。
六本木院勤務日のおしらせ
ちなみに、私は2月24日、3月3日、10日、17日、24日、31日、4月7日、14日、21日、28日は六本木院勤務になります。
マシン治療やオペ、注入も、新宿院とほぼ同じ施術が可能です。
宜しければいらっしゃって下さい。
当院のホームページについて
当院のホームページでは、他の施術もたくさん紹介しています。
ご興味のある方は、宜しければ、ご覧になってみてください。
当院のホームページは、
新宿ラクル美容外科クリニックのオフィシャルサイトでご覧いただけます。
また、当院の「公式Instagram」も宜しければご覧下さい。








