こんばんは。
新宿ラクル美容外科クリニックの山本厚志です。
本日も、朝から夜まで手術および処置が続く一日となりました。
ご来院くださった皆さまに、心より感謝申し上げます。
混み合う日が続いておりますので、しっかりと集中して臨みたいと思います。
明日も、どうぞ宜しくお願い致します。
今日は、「裏ハムラ法(目の下のクマ・たるみ取り)+ 眉下切開法」の術後経過をご紹介いたします。
裏ハムラ法(目の下のクマ・たるみ取り)+ 眉下切開法 の症例ご紹介
症例のご紹介【ダイジェスト版】-手術前と6ヶ月目の変化
まずは、ダイジェスト版でご紹介させて頂きます。
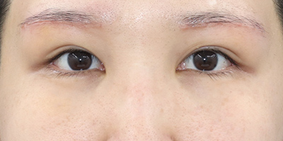
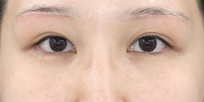
30代女性の手術前のご状態です。
目の下のクマ(目の下のふくらみと凹み)と目の上のたるみを気にされていました。
カウンセリングの結果、「裏ハムラ法(目の下のクマ・たるみ取り)+ 眉下切開法」で改善を図ることになりました。
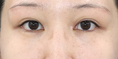
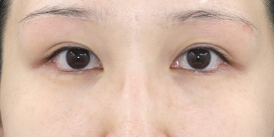
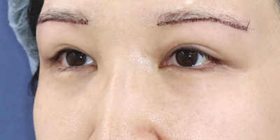
手術後6ヶ月目のご状態です。
眉下のたるみが減り、楽に開瞼できるようになっています。目の下のクマも目立たなくなり、お目元が若返りました。


斜めからの変化も、ご紹介します。
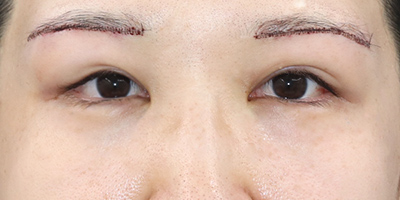
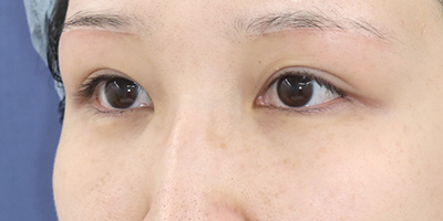
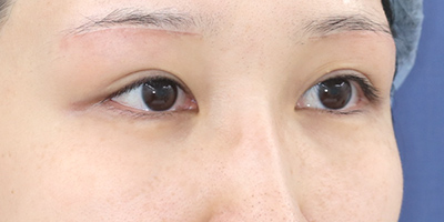
手術前のご状態です。
目の下に膨らみと凹みがあると、実年齢よりも上に見えたり、疲れて見えたりします。
また、上まぶたにたるみがあると、目の開きが悪くなり、眉毛が上がり額にしわが寄りやすくなります。
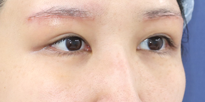
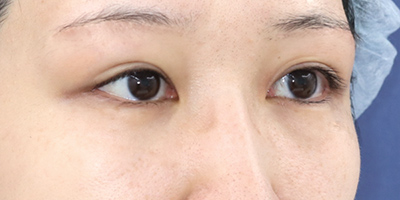
手術後6ヶ月目のご状態です。
眉下のお傷痕は徐々に目立たなくなってきました。目の下のクマも目立たなくなってきました。


反対側の変化も、ご紹介します。
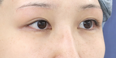
手術前のご状態です。
目の下のくまと上まぶたのたるみを悩まれていました。
下眼窩脂肪のふくらみがある場合、目の下のクマにヒアルロン酸を注入しても、クマはあまり改善しないケースが多いです。
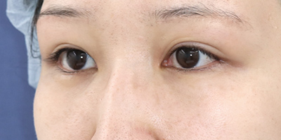
手術後6ヶ月目のご状態です。
眉下切開を行うことで、無理して開瞼を行う感じが無くなり、楽に目が開くようになっています。


施術概要(裏ハムラ法(目の下のクマ・たるみ取り))
- 施術概要
- 下まぶたの裏側(赤目の部分)を切開して、原因の下眼窩脂肪を移動・固定して目の下のクマや膨らみを改善する施術です。
- 施術の副作用(リスク)
- 腫れ(腫脹)、皮下出血、痛み、感染、眼症状(目の違和感、涙の増加など)、傷痕、しこり、アレルギー反応
- 施術の金額
- 289,000円(両側)(税込)(記事掲載時)
施術概要(眉下切開法)
- 施術概要
- 眉毛の下縁に沿って余分な皮膚を切り取り、上まぶたのたるみを改善する施術です。
- 施術の副作用(リスク)
- 腫れ(腫脹)、皮下出血、痛み、感染、熱感、眼症状、傷痕、しこり、アレルギー反応。
- 施術の金額
- 286,000円(税込)(記事掲載時)
裏ハムラ法(目の下のクマ・たるみ取り)について
裏ハムラ法(目の下のクマ・たるみ取り)は、こんな方にオススメです。
「裏ハムラ法(目の下のクマ・たるみ取り)」は、こんな方におススメです
- 目の下の膨らみやクマが気になる方
- 目の下のたるみが気になる方
- メイクで目の下のクマが隠れない方
裏ハムラ法(目の下のクマ・たるみ取り)とは?
「裏ハムラ法(目の下のクマ・たるみ取り)」とは、
目の下の膨らみの原因である眼窩脂肪を、移動・固定することで、目の下を凹凸の無いフラットな状態に改善する施術です。
目の下がフラットになることで影となってできていたクマが無くなるため、目元の印象が若々しくなります。
韓国では「脂肪再配置」と呼ばれており、同じ治療法です。
術式は、下まぶたの裏側から行う「裏ハムラ法」と皮膚の表側から行う「表ハムラ法」があります。
表ハムラ法で施術を行う際は、逆まつげ治療を同時に受けていただくことも可能です。
「裏ハムラ法(目の下のクマ・たるみ取り)」は、
眼瞼結膜(あかんべーをした時の赤目の部分)を切開して行う方法です。下まぶたの内側を縫合するため、傷口がわからないのが特徴です。
モニター募集のお知らせ
ただ今、当院では、「裏ハムラ法(目の下のクマ・たるみ取り)」のモニター様を募集しております。
モニター 249,000円(税込)(記事掲載時)になります。
ご希望のある方は、お問い合わせくださいませ。
「裏ハムラ法(目の下のクマ・たるみ取り)」について詳しくは、新宿ラクル美容外科クリニックオフィシャルサイト「裏ハムラ法(目の下のクマ・たるみ取り)」のページをどうぞ。
症例のご紹介【通常版】-手術前から現在までの経過
続きまして、通常版でご紹介させて頂きます。
30代女性の手術前のご状態です。
目の下のクマ(目の下のふくらみと凹み)と目の上のたるみを気にされていました。
カウンセリングの結果、「裏ハムラ法(目の下のクマ・たるみ取り)+ 眉下切開法」で改善を図ることになりました。
デザインです。
左右のふくらみが気になる部位と、tear troughの凹みをデザインしています。
眉下切開法では、最大皮膚切除幅は右7mm、左6mmとしました。
手術直後のご状態です。
手術直後の腫れと皮下出血のご状態をご確認いただきます。
眉下切開法では、術後にお傷痕が目立たなくなるように、かなり丁寧に縫合を行っております。
手術後1週間目の変化です。
眉下切開法の抜糸直後で、まだ赤みや硬さがあります。
手術後1ヶ月目のご状態です。
術後1ヶ月が経過しましたが、皮下出血が引き、目の下の膨らみと凹みは、手術前と比較して目立たなくなっています。
まだ、眉下切開法のお傷痕が目立ちますが、これから徐々に目立たなくなって行きます。個人差があります。
手術後2ヶ月目の変化です。
目の下のふくらみが減り、クマの部分(tear trough)の凹みが浅くなったことで、全体的に目の下がフラットになりました。
また、目の上のたるみも減り、全体として、お目元のご印象が明るくなりました。
手術後3ヶ月目の変化です。
目の下の凹凸が減ったことで、光を受けやすくなり、クマが目立たなくなりました。色素沈着や血管の透けよりも、影が原因でした。
また目の上のたるみが減ったことで、開瞼が容易になりました。眉下切開法のお傷痕はこれから徐々に目立たなくなっていきます。
手術後6ヶ月目のご状態です。
眉下のたるみが減り、楽に開瞼できるようになっています。目の下のクマも目立たなくなり、お目元が若返りました。
斜めからの変化も、ご紹介します。
手術前のご状態です。
目の下に膨らみと凹みがあると、実年齢よりも上に見えたり、疲れて見えたりします。
また、上まぶたにたるみがあると、目の開きが悪くなり、眉毛が上がり額にしわが寄りやすくなります。
デザインです。
このようにデザインしています。tear troughの凹みも改善していきたいと思います。
手術直後のご状態です。
手術直後で、眉下は縫合の糸が付いています。目の下の腫れは大したことがなさそうです。
手術後1週間目の変化です。
まだ、腫れは残ります。目の下のクマが改善し、目の開きが良くなりました。皮下出血はほとんど出ませんでした。
手術後1ヶ月目のご状態です。
目の下のクマが目立たなくなっています。皮下出血や腫れはほとんど引いています。
眉下切開法のお傷痕がまだ目立ちますが、目力が増しました。
手術後2ヶ月目の変化です。
tear troughの凹みが影になり目立っていましたが、術後は凹凸が減ったことで、目の下が光を受けやすくなり、明るいお目元になりました。
手術後3ヶ月目の変化です。
目の下のふくらみと凹みが軽減したことで、お目元のご印象が変わりました。
また、上まぶたのたるみが減ったことで、目が容易に開くようになりました。
手術後6ヶ月目のご状態です。
眉下のお傷痕は徐々に目立たなくなってきました。目の下のクマも目立たなくなってきました。
反対側の変化も、ご紹介します。
手術前のご状態です。
目の下のくまと上まぶたのたるみを悩まれていました。
下眼窩脂肪のふくらみがある場合、目の下のクマにヒアルロン酸を注入しても、クマはあまり改善しないケースが多いです。
デザインです。
今回は、裏ハムラ法なので、皮膚に切開創は残りません。
眉下切開法のデザインはこのようにしました。
手術直後のご状態です。
腫れが出ていますが、皮下出血は起こりませんでした。お傷痕に対して、これから軟膏処置が必要になります。
手術後1週間目の変化です。
目の上と下の両方に、まだ腫れが残りますが、術前よりも目の下のクマが改善傾向であり、目の開きも良くなりました。
手術後1ヶ月目のご状態です。
下眼窩脂肪の再配置により、目の下がフラットになり、開瞼(目の開き)が容易になる方が多いです。
眉下切開法のお傷痕はまだ硬さが残ります。
手術後2ヶ月目の変化です。
目の下のふくらみが減り、クマが目立たなくなりました。
眉下切開法のお傷痕がまだ目立ちます。
手術後3ヶ月目の変化です。
目の下の下眼窩脂肪のふくらみが軽減しています。
また、上まぶたのたるみが減り、二重幅が広くなり、目の開きが良くなりました。
手術後6ヶ月目のご状態です。
眉下切開を行うことで、無理して開瞼を行う感じが無くなり、楽に目が開くようになっています。
お知らせ
キャンペーンのおしらせ
ただ今、2月のおすすめ治療を行っております。
宜しければ、チェックしてみてください。
六本木院勤務日のおしらせ
ちなみに、私は2月17日、24日、3月3日、10日、17日、24日、31日は六本木院勤務になります。
マシン治療やオペ、注入も、新宿院とほぼ同じ施術が可能です。
宜しければいらっしゃって下さい。
当院のホームページについて
当院のホームページでは、他の施術もたくさん紹介しています。
ご興味のある方は、宜しければ、ご覧になってみてください。
当院のホームページは、
新宿ラクル美容外科クリニックのオフィシャルサイトでご覧いただけます。
また、当院の「公式Instagram」も宜しければご覧下さい。






