こんばんは。
新宿ラクル美容外科クリニックの山本厚志です。
本日も、朝から夜遅くまで手術および処置が続く一日となりました。
ご来院くださった皆さまに、心より感謝申し上げます。
また、本日は、大阪府(2組)、山形県、岐阜県からのご来院がありました。
ご遠方からのご来院、とても励みになります。
ご来院いただく皆さまのご期待にお応えできるよう、
日々の体調管理にも気を配りながら、丁寧な診療に臨んでまいります。
今日は、「切らない目の下のたるみ取り + ヒアルロン酸(tear trough)」の術後経過をご紹介いたします。
「切らない目の下のたるみ取り+ヒアルロン酸(tear trough)」の症例ご紹介
症例のご紹介【ダイジェスト版】-手術前と手術後3ヶ月目の変化
まずは、ダイジェスト版でご紹介させて頂きます。
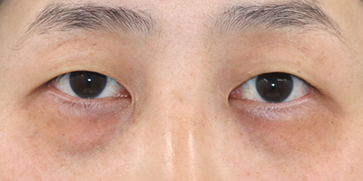
30代男性の手術前のご状態です。
10代の頃から、目の下が膨らんできたことを気にされていたそうです。実は、この方のお父様も、同じ手術を私が担当させて頂きました。
手術後3ヶ月目のご状態です。
目の下のふくらみが減り、凹みが浅くなったことで、お目元が若返りました。


斜めからの変化も、ご紹介します。
手術前のご状態です。
30代の方ですが、目の下に膨らみがあると、実年齢よりも年上に見えてしまいます。
手術後3ヶ月目のご状態です。
下眼窩脂肪を摘出するだけだと、tear trough(クマの部分)の凹みが目立つことが多いので、同時にヒアルロン酸か脂肪の注入が必要と考えます。


反対側の変化も、ご紹介します。
手術前のご状態です。
目の下のクマは、下眼窩脂肪の膨らみとその下側のtear troughの凹みが原因なので、tear troughを埋めるだけでは改善しません。
手術後3ヶ月目のご状態です。
目の下がフラットになると、疲れた印象が無くなり、見た目年齢が若返ります。


施術概要(切らない目の下のたるみ取り)
- 施術概要
- 眼瞼結膜(あかんべーをした時の赤目の部分)に小さい穴をあけ、膨らみの原因である下眼窩脂肪を取り出して目の下のたるみを改善する施術です。
- 施術の副作用(リスク)
- 腫れ(腫脹)、皮下出血、感染、血腫、痛み、眼症状、傷痕
- 施術の金額
- 102,630円~171,050円(片側、両側)(税込)(記事掲載時)
切らない目の下のたるみ取りについて
切らない目の下のたるみ取りは、こんな方にオススメです。
「切らない目の下のたるみ取り」は、こんな方におススメです。
・生まれつき目の下が膨らんでいる方
・目の下のクマで悩まれている方
・目の下のクマにヒアルロン酸を注入しても改善しない方
・年齢と共に目の下が膨らんできた方
・年齢的に皮膚のたるみもあるが、皮膚切開には抵抗のある方
切らない目の下のたるみ取りとは?
「切らない目の下のたるみ取り」とは、
先天的に目の下の眼窩脂肪の量が多いと、20代や30代でも目の下のふくらみが気になるという方がいらっしゃいます。
このようなケースでは、皮膚の切除は必要ない場合が多く、脂肪の除去だけで十分なことが多いです。
若い方では、目の下の下眼窩脂肪の量が減ると涙袋が目立つようになることが多いです。
年配の方では、目袋が目立たなくなるのですが、逆に皮膚のシワが増えるケースもあり、皮膚切除の併用や、シワに対してベビーコラーゲンの注入が必要になることがあります。
年配の方でも、皮膚切除がどうしても抵抗があれば、
この手術である程度の改善を図ることが可能な場合もあります。
宜しければ、カウンセリングでご相談ください。
「切らない目の下のたるみ取り」について詳しくは、新宿ラクル美容外科クリニックオフィシャルサイト「切らない目の下のたるみ取り」のページをどうぞ。
モニター募集のお知らせ
ただ今、当院では、「切らない目の下のたるみ取り」のモニター様を募集しております。

モニター 143,550円(税込)(記事掲載時)になります。
ご希望のある方は、お問い合わせくださいませ。
症例のご紹介【通常版】-手術前から現在までの経過
続きまして、通常版でご紹介させて頂きます。
30代男性の手術前のご状態です。
10代の頃から、目の下が膨らんできたことを気にされていたそうです。実は、この方のお父様も、同じ手術を私が担当させて頂きました。
手術直後のご状態です。
経結膜的に、下眼窩脂肪を慎重に摘出しています。術中に何度も坐位にして、適切な量の下眼窩脂肪を摘出しました。
手術後1週間目の変化です。
まだ、下眼瞼に腫れが少し残りますが、手術前と比較すると、目の下が随分とスッキリしています。
手術後1ヶ月目のご状態です。
腫れが引いて来て、お目元の見た目年齢が随分と若返りました。私自身、もしも目の下が膨らんできたら、この手術はすぐに受けようと思います。
手術後2ヶ月目の変化です。
目の下の膨らみが改善したことで、目の下がスッキリ見えるだけで無く、目の開きも良くなりました。
手術後3ヶ月目のご状態です。
目の下のふくらみが減り、凹みが浅くなったことで、お目元が若返りました。
斜めからの変化も、ご紹介します。
手術前のご状態です。
30代の方ですが、目の下に膨らみがあると、実年齢よりも年上に見えてしまいます。
手術直後のご状態です。
皮膚のたるみが強い場合は、皮膚切除の必要な方も中にはいらっしゃいます。今回は、下眼窩脂肪を摘出して、tear treoughの凹みを埋めたことで、目の下のご印象が変わりました。
手術後1週間目の変化です。
まだ、腫れや皮下出血が少し残りますが、目の下の膨らみが減るだけで、随分と若いご印象に変わります。
手術後1ヶ月目のご状態です。
まだ、完全に腫れが引いている訳ではありませんが、目の下の膨らみと凹みが目立たなくなるだけで、随分とご印象が違ってきます。目の開きも改善しています。
手術後2ヶ月目の変化です。
下眼窩脂肪を摘出することで、目の下の膨らみが減り、tear troghを埋めたことでクマの凹みが浅くなりました。
手術後3ヶ月目のご状態です。
下眼窩脂肪を摘出するだけだと、tear trough(クマの部分)の凹みが目立つことが多いので、同時にヒアルロン酸か脂肪の注入が必要と考えます。
反対側の変化も、ご紹介します。
手術前のご状態です。
目の下のクマは、下眼窩脂肪の膨らみとその下側のtear troughの凹みが原因なので、tear troughを埋めるだけでは改善しません。
手術直後のご状態です。
手術直後で腫れていますが、これから徐々に落ち着いて来ます。皮下出血は出ませんでした。
手術後1週間目の変化です。
目の下の膨らみと凹みが改善するだけで、見た目年齢が一気に若返ります。
手術後1ヶ月目のご状態です。
良い変化と言えると思います。下眼窩脂肪は、必要な量だけ取り除くのが、この手術の一番のポイントです。
手術後2ヶ月目の変化です。
目の下の膨らみがあると、涙袋がはっきりしませんが、切らない目の下のたるみ取りの術後は涙袋が出来やすくなります。
手術後3ヶ月目のご状態です。
目の下がフラットになると、疲れた印象が無くなり、見た目年齢が若返ります。
お知らせ
キャンペーンのおしらせ
ただ今、2月のおすすめ治療を行っております。
宜しければ、チェックしてみてください。
六本木院勤務日のおしらせ
ちなみに、私は2月17日、24日、3月3日、10日、17日、24日、31日は六本木院勤務になります。
マシン治療やオペ、注入も、新宿院とほぼ同じ施術が可能です。
宜しければいらっしゃって下さい。
当院のホームページについて
当院のホームページでは、他の施術もたくさん紹介しています。
ご興味のある方は、宜しければ、ご覧になってみてください。
当院のホームページは、
新宿ラクル美容外科クリニックのオフィシャルサイトでご覧いただけます。
また、当院の「公式Instagram」も宜しければご覧下さい。






