こんばんは。
新宿ラクル美容外科クリニックの山本厚志です。
本日も、朝から夜まで手術および処置が続く一日となりました。
ご来院くださった皆さまに、心より感謝申し上げます。
また、本日は、広島県(2組)からのご来院+手術がありました。
ご遠方からのご来院、とても励みになります。
一件一件の症例に、丁寧に向き合いながら診療を行っております。
混み合う日が続いておりますので、しっかりと集中して臨みたいと思います。
明日も、どうぞ宜しくお願い致します。
今日は、「眉下切開法」の術後経過をご紹介いたします。
眉下切開法の症例ご紹介
ご年齢と共に上まぶたが被ってきて、重瞼幅が狭くなって来たことを悩まれていました。
上まぶたの皮膚のたるみが発生すると、眉毛の挙上を認めます。
これは、額のシワが年齢と共に深くなる原因になります。
他院修正のご相談も多い手術なので、
手術をご検討の方は、症例写真でしっかりと確認してから手術に臨まれることをお勧めいたします。
症例のご紹介【ダイジェスト版】-手術前と手術後3ヶ月目の変化
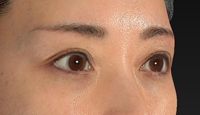
40代女性の手術前のご状態です。
上瞼が重いことを悩まれていました。特に左側のたるみを気にされていました。上瞼のたるみを軽減しようとして、眉毛が挙上しています。
一般的には、ご年齢と共に上まぶたの皮膚が伸びてたるんでくると、皮膚がかぶってきて二重幅が狭くなり、上方向が見えづらくなります。
手術後3ヶ月目の変化です。
上瞼のたるみが減ったことで、目の開きが良くなりました。眉下のお傷痕は徐々に目立たなくなってきました。


続きまして、斜めからの変化を見てみましょう。
手術前のご状態です。
上瞼のたるみが強い場合、二重のライン(重瞼線)で幅を整えても、またさらにたるみが上からかぶさってくるケースが多いです。
たるみが強い場合は、「眉下切開法」が適応になることがあります。
手術後3ヶ月目の変化です。
たるみによる重瞼ラインのゆがみが改善して、お目元が若返りました。


次に、反対側のまぶたの変化を見てみましょう。
手術前のご状態です。
とくに左側のたるみが顕著でしたので、しっかりと改善を図りたいと思います。
上瞼のたるみが増えると、重瞼線が波打ってきたり、三角目になったりします。皮膚のかぶさりは眉下切開が有効なことが多いです。
手術後3ヶ月目の変化です。
上瞼のたるみが減り、重瞼線が整いました。眉下のお傷痕の赤みは徐々に目立たなくなってきました。


施術概要(眉下切開法)
- 施術概要
- 眉毛の下縁に沿って余分な皮膚を切り取り、上まぶたのたるみを改善する施術です。
- 施術の副作用(リスク)
- 腫れ(腫脹)、皮下出血、痛み、感染、熱感、眼症状、傷痕、しこり、アレルギー反応。
- 施術の金額
- 286,000円(税込)(記事掲載時)
眉下切開法について
眉下切開法は、こんな方におススメです。
「眉下切開法」は、こんな方におススメです。
・年齢による上まぶたのたるみは気になるけど、もともとの目の印象を変えたくないという方
・一重の方が一重のまま、上まぶたのたるみを取りたい方
眉下切開法とは?
「眉下切開法」とは、
眉毛の下縁にそって余分な皮膚を切り取り、上まぶたのたるみを改善する施術です。
二重の方はもちろんですが、奥二重や一重など元々の自分の目の印象を変えずに上まぶたのたるみのみを改善したい方はこの施術が適しています。施術後の腫れが少なく、傷痕も眉毛に隠れて目立ちにくいです。
加齢によってまぶたがたるんできた方、まぶたの腫れぼったさが気になる方にオススメの施術です。
※上まぶたが下垂している場合は、眼瞼下垂の手術が必要です。
毛包斜切断法による眉下切開
当院の眉下切開は毛包斜切断法(もうほうしゃせつだんほう)という切開法で行います。

毛包斜切断法は、眉毛の中から下方向へ斜めに切開します。そうすることで毛根を痛めないため手術後に眉毛が生えてきます。
さらに眉毛が生えてくるにしたがい、傷痕が隠れて目立たなくなります。
モニター募集のお知らせ
当院では、ただ今、「眉下切開法」のモニター様を募集しております。
「眉下切開法」
モニター様 253,000円(税込)(記事掲載時)
ご興味のある方は、ご相談にいらしてください。
「眉下切開法」について詳しくは、新宿ラクル美容外科クリニックオフィシャルサイト「眉下切開法」のページをどうぞ。
症例のご紹介【通常版】-手術前から現在までの経過
続きまして、通常版でご紹介させていただきます。
40代女性の手術前のご状態です。
上瞼が重いことを悩まれていました。特に左側のたるみを気にされていました。上瞼のたるみを軽減しようとして、眉毛が挙上しています。
一般的には、ご年齢と共に上まぶたの皮膚が伸びてたるんでくると、皮膚がかぶってきて二重幅が狭くなり、上方向が見えづらくなります。
手術前のデザインです。
眉下皮膚の最大切除幅は右5mm、左8mmでデザインしました。
手術直後の変化です。
極細の糸を使用して、丁寧に縫合を行っています。手術直後で腫れていますが、皮下出血は出ていません。
手術後1週間目のご状態です。
抜糸直後でお傷痕の赤みが残ります。皮下出血はご体質によりますが、今回はほとんど出ていません。
お傷痕をきれいに治すために、手術から抜糸までの期間、軟膏処置をしっかりとしていただく必要があります。
手術後1ヶ月目の変化です。
まだお傷痕の赤みが残りますが、眉毛が下がり、重瞼線にかぶる皮膚のたるみも軽減しています。
「眉下切開法」は重瞼幅(二重の幅)を調整する手術ではありませんが、この方は、たるみより左右差が生じていたので、適切にたるみを軽減したことで、左右差が整いました。
手術後2ヶ月目のご状態です。
眉下切開は重瞼幅(二重の幅)を調整する手術ではありませんが、上瞼のたるみの調整は行うことが出来ます。
この方はもともと、重瞼幅は揃っていたため、上瞼のたるみの左右差を調整したことで、重瞼幅が揃いました。
手術後3ヶ月目の変化です。
上瞼のたるみが減ったことで、目の開きが良くなりました。眉下のお傷痕は徐々に目立たなくなってきました。
続きまして、斜めからの変化を見てみましょう。
手術前のご状態です。
上瞼のたるみが強い場合、二重のライン(重瞼線)で幅を整えても、またさらにたるみが上からかぶさってくるケースが多いです。
たるみが強い場合は、「眉下切開法」が適応になることがあります。
手術前のデザインです。
このようにデザインしました。
傷痕が目立たないようにするためには、丁寧な手術操作と縫合技術が必要です。
手術直後の変化です。
腫れていますが、手術前と比較して、上まぶたのたるみが軽減し、目の開きが改善しています。
眉毛が下がり、上瞼のたるみが減りました。お傷は可能な限り丁寧に縫合を行っています。
手術後1週間目のご状態です。
抜糸直後で、お傷の赤みが残ります。糸が付いている期間は、軟膏処置をしっかりと行われるとお傷の治りが良いです。
手術後1ヶ月目の変化です。
まだお傷痕の赤みが強く出ていますが、お傷痕は眉下に隠れるように手術を行っており、お傷痕は今後、少しずつ目立たなくなっていくと思います。
手術後2ヶ月目のご状態です。
目の上のたるみが減り、目の開きも良くなりました。
手術後3ヶ月目の変化です。
たるみによる重瞼ラインのゆがみが改善して、お目元が若返りました。
次に、反対側のまぶたの変化を見てみましょう。
手術前のご状態です。
とくに左側のたるみが顕著でしたので、しっかりと改善を図りたいと思います。
上瞼のたるみが増えると、重瞼線が波打ってきたり、三角目になったりします。皮膚のかぶさりは眉下切開が有効なことが多いです。
手術前のデザインです。
眉毛の範囲内だけで切除幅を大きくするとdog earと言って傷の断端に盛り上がりができやすくなるので、難しいところです。
どこにどれくらいのたるみが発生しているのかを見極めて、デザインを行う必要があります。
手術直後の変化です。
こちら側も、上まぶたのたるみが減り、眉毛が下がり、上瞼のたるみが減りました。まずまずの切除幅でしたが、なんとか綺麗にまとまりました。
お傷痕をきれいに治すために、抜糸までの軟膏処置が重要になります。
手術後1週間目のご状態です。
年齢と共に上まぶたのたるみが強くなりますが、眉下切開法で見た目の若々しさを取り戻すことが可能です。
お傷痕の経過は、注意深く見守る必要がある手術です。
手術後1ヶ月目の変化です。
眉毛が下がっていますが、重瞼線(二重のライン)のすぐ上のたるみが改善し、術前と比較して、若々しいお目元になりました。
手術後2ヶ月目のご状態です。
目の上のたるみが減ったことで、眉毛が下がり、目の開きも良くなりました。眉下のお傷痕は徐々に目立たなくなってきました。
手術後3ヶ月目の変化です。
上瞼のたるみが減り、重瞼線が整いました。眉下のお傷痕の赤みは徐々に目立たなくなってきました。
お知らせ
キャンペーンのお知らせ
ただ今、4月のおすすめ治療を行っております。
宜しければ、チェックしてみてください。
六本木院勤務日のおしらせ
ちなみに、私は4月14日、21日、28日、5月5日、12日、19日、26日は六本木院勤務になります。
マシン治療やオペ、注入も、新宿院とほぼ同じ施術が可能です。
宜しければいらっしゃって下さい。
当院のホームページについて
当院のホームページでは、他の施術もたくさん紹介しています。
ご興味のある方は、宜しければ、ご覧になってみてください。
当院のホームページは、
新宿ラクル美容外科クリニックのオフィシャルサイトでご覧いただけます。
また、当院の「公式Instagram」も宜しければご覧下さい。






