おはようございます。
新宿ラクル美容外科クリニックの山本厚志です。
ここ数日で、USA、上海、静岡県からのご来院がありました。
ご遠方からのご来院、大変ありがとうございます。
また、連日混みあっています。
沢山のご来院、大変ありがとうございました。
今日は、「眉下切開法」の術後経過をご紹介いたします。
眉下切開法の症例ご紹介
年齢とともにまぶたが被ってきてしまい、視界が悪いとのことでした。
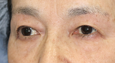
症例のご紹介【ダイジェスト版】-手術前と12ヶ月目の変化
60代女性、手術前のご状態です。
上まぶたのたるみにより、上方向が見えにくくなり、無意識に眉毛を上げて調整しています。
そのせいで、額には常にしわが寄ってしまっていました。特に右側の眉毛が上がっていました。
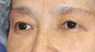
手術後12ヶ月目のご状態です。
手術から1年が経過しました。「何だか若くなったね。」と周りの方から言われるそうです。お傷痕は、至近距離で見られても、ほぼ分からないご状態になっています。


続きまして、斜めからの変化を見てみましょう。
手術前のご状態です。
上まぶたのたるみが原因で、元々の二重まぶたが完全に隠れています。
手術後12ヶ月目のご状態です。
上瞼の余分な皮膚のたるみが減ることで、目が開きやすくなりました。お傷痕が目立たなくなるような工夫もしていますが、きれいに治って良かったです。


次に、反対側のまぶたの変化を見てみましょう。
手術前のご状態です。
上まぶたにたるみが出てくると、上方の視界が悪くなり、頭痛や肩こりの原因になります。
手術後12ヶ月目のご状態です。
お若い頃のお目もとに戻ったと思います。お受けいただいて良かったと思いました。


施術概要(眉下切開法)
- 施術概要
- 眉毛の下縁に沿って余分な皮膚を切り取り、上まぶたのたるみを改善する施術です。
- 施術の副作用(リスク)
- 腫れ(腫脹)、皮下出血、痛み、感染、熱感、眼症状、傷痕、しこり、アレルギー反応。
- 施術の金額
- 286,000円(税込)(記事掲載時)
眉下切開法について
眉下切開法は、こんな方にオススメです。
「眉下切開法」は、こんな方におススメです。
・年齢による上まぶたのたるみは気になるけど、もともとの目の印象を変えたくないという方
・一重の方が一重のまま、上まぶたのたるみを取りたい方
眉下切開法とは?
「眉下切開法」とは、
眉毛の下縁にそって余分な皮膚を切り取り、上まぶたのたるみを改善する施術です。
二重の方はもちろんですが、奥二重や一重など元々の自分の目の印象を変えずに上まぶたのたるみのみを改善したい方はこの施術が適しています。施術後の腫れが少なく、傷痕も眉毛に隠れて目立ちにくいです。
加齢によってまぶたがたるんできた方、まぶたの腫れぼったさが気になる方にオススメの施術です。
※上まぶたが下垂している場合は、眼瞼下垂の手術が必要です。
毛包斜切断法による眉下切開
当院の眉下切開は毛包斜切断法(もうほうしゃせつだんほう)という切開法で行います。

毛包斜切断法は、眉毛の中から下方向へ斜めに切開します。そうすることで毛根を痛めないため手術後に眉毛が生えてきます。
さらに眉毛が生えてくるにしたがい、傷痕が隠れて目立たなくなります。
モニター募集のお知らせ
当院では、ただ今、「眉下切開法」のモニター様を募集しております。
「眉下切開法」
モニター様 253,000円(税込)(記事掲載時)
ご興味のある方は、ご相談にいらしてください。
症例のご紹介【通常版】-手術前から現在までの経過
続きまして、通常版でご紹介させていただきます。
60代女性、手術前のご状態です。
上まぶたのたるみにより、上方向が見えにくくなり、無意識に眉毛を上げて調整しています。
そのせいで、額には常にしわが寄ってしまっていました。特に右側の眉毛が上がっていました。
手術前のデザインです。
右側の方が眉毛が挙上しており、瞼の皮膚のたるみも強かったです。
右側の最大切除幅は10㎜、左側の最大切除幅は8㎜でデザインしました。
手術直後のご状態です。
手術直後で腫れていますが、左右のバランスは悪くないのではないかと思います。
手術後1週間目の変化です。
抜糸直後で、赤みや腫れが残りますが、上まぶたの被りが改善しています。
右眉も下がって来て、左右差が目立たなくなって来ました。
手術後1ヶ月目のご状態です。
上まぶたのたるみがスッキリして来ました。お傷はまだ1ヶ月目なので、赤みや硬さが残ります。
手術後2ヶ月目の変化です。
眉下切開の術後は眉毛が下がるのですが、どのくらい下がるかは読めません。良い感じに落ち着いて来られていると思います。
手術後3ヶ月目のご状態です。
お傷痕の赤みも引き、分かりにくくなって来ました。
お目元がかなり若返ったので、お化粧が楽しいとのことでした。
手術後6ヶ月目の変化です。
お傷痕はほとんど分からなくなりつつあります。
眉毛は少し下降していますが、お目元ご印象が良くなられたと思います。
手術後12ヶ月目のご状態です。
手術から1年が経過しました。「何だか若くなったね。」と周りの方から言われるそうです。お傷痕は、至近距離で見られても、ほぼ分からないご状態になっています。
続きまして、斜めからの変化を見てみましょう。
手術前のご状態です。
上まぶたのたるみが原因で、元々の二重まぶたが完全に隠れています。
手術前のデザインです。
デザインはいつも悩みますが、たるみの強い外側の改善を目指したいと思います。
手術直後のご状態です。
手術直後の腫れはこのくらいです。かなり細い半透明な糸を使って、丁寧に縫合しています。
手術後1週間目の変化です。
抜糸直後でお傷の赤みが残りますが、まぶたの被りがかなり改善していて、
お目元が若いご印象に変わって来ました。
手術後1ヶ月目のご状態です。
お傷の硬さが残る時期ですが、上まぶたのたるみは良い感じに改善しています。
手術後2ヶ月目の変化です。
お傷痕は徐々に目立たなくなって行きます。上まぶたのたるみが軽減して、元々の二重まぶたが現れました。
手術後3ヶ月目のご状態です。
術前のたるみが結構ありましたので、切除デザイン的には攻めました。お傷が綺麗に治って来て良かったと思います。
手術後6ヶ月目の変化です。
重瞼ライン(二重のライン)でたるみを切除すると、お目元のご印象が結構変わってしまうのに対して、眉下切開法だと、若いころのお目元に戻る感じなので、ご満足度が高いように思います。
手術後12ヶ月目のご状態です。
上瞼の余分な皮膚のたるみが減ることで、目が開きやすくなりました。お傷痕が目立たなくなるような工夫もしていますが、きれいに治って良かったです。
次に、反対側のまぶたの変化を見てみましょう。
手術前のご状態です。
上まぶたにたるみが出てくると、上方の視界が悪くなり、頭痛や肩こりの原因になります。
手術前のデザインです。
左側の方が眉毛の上りが少なく、皮膚のたるみも少なかったのでこのようなデザインにしています。
手術直後のご状態です。
抜糸までの1週間は、眉毛の下のラインに糸が付いたままになります。
手術後1週間目の変化です。
こちら側もまぶたの被りがハッキリと改善して来ました。
手術後1ヶ月目のご状態です。
上まぶたのたるみが解消すると視界が広がり、肩こりが解消するケースが多いです。
手術後2ヶ月目の変化です。
お傷痕も目立たなくなってきています。上まぶたのたるみが軽減して、良い感じです。
手術後3ヶ月目のご状態です。
お化粧をしてしまえば、お傷痕はほとんど分からないと思います。
手術後6ヶ月目の変化です。
眉毛下の傷痕はお化粧をしていなくても分かりづらいと思います。
傷痕が目立ちにくい様な工夫をいろいろと行っております。
手術後12ヶ月目のご状態です。
お若い頃のお目もとに戻ったと思います。お受けいただいて良かったと思いました。
お知らせ
キャンペーンのおしらせ
宜しければ、チェックしてみてください。
六本木院勤務日のおしらせ

ちなみに、私は7月3日、10日、17日、24日、31日、8月7日、14日、21日、28日は六本木院勤務になります。
マシン治療やオペ、注入も、新宿院とほぼ同じ施術が可能です。
宜しければいらっしゃって下さい。
当院のホームページについて
当院のホームページでは、他の施術もたくさん紹介しています。
ご興味のある方は、宜しければ、ご覧になってみてください。
当院のホームページは、
新宿ラクル美容外科クリニックのオフィシャルサイトでご覧いただけます。
また、当院のスタッフブログもありますので、
宜しければれば「ラクル女子部のブログ」もご覧下さい。






