こんばんは。
新宿ラクル美容外科クリニックの山本厚志です。
今日も、朝から夜まで手術と処置が続き、
大変忙しく一日を過ごすことが出来ました。
沢山のご来院、どうもありがとうございます。
明日は新宿院での勤務になります。
明日もどうぞよろしくお願い致します。
今日は、当院で人気の「埋没法二重術(エクセレントアイ)(両側6点止め)」の術後経過をご紹介いたします。
埋没法二重術(エクセレントアイ)(両側6点止め)の症例ご紹介
症例は30代女性。
奥二重をはっきりとした二重まぶたにされたいとのリクエストでした。
今回は、埋没法二重術をご希望でしたので、
なるべく開瞼が容易になる二重の幅を見つけようと考えました。
切る手術をご検討されていない方でも、
「切らない眼瞼下垂」という手術で瞼の開きを良くすることは可能ですが、
まずは、埋没法二重術をされてみて、
必要があれば考えられると良いのではないかと思いました。
症例のご紹介【ダイジェスト版】-手術前と手術後1ヶ月目の変化
まずは、ダイジェスト版でご紹介いたします。
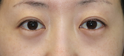
30代女性、手術前のご状態です。

今回は、埋没法で二重を作ることをご希望されていました。重瞼棒でのシミュレーションで瞼の開きが良くなる幅を見つけて、埋没法二重術(エクセレントアイ)を行うことになりました。
腫れが引いて来て、二重の左右差はほとんど気にならないご状態です。良い仕上がりではないかと思います。


続きまして、まぶたの変化を見てみましょう。
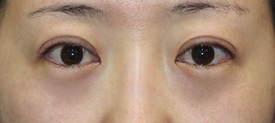
手術前のご状態です。

アイプチや付けまつ毛を使うと、のりなどの接着剤成分でまぶたの皮膚が薄くなり、ハリが無くなってしまうので、皮膚のたるみの原因になります。
手術の痕跡はほとんど残っていないので、至近距離で見られても平気です。


施術概要(エクセレントアイ(埋没法二重術))
- 施術概要
- メスを使用せずに医療用の糸で上まぶたを留めて二重をつくる一般的にプチ整形と呼ばれる二重術です。
- 施術の副作用(リスク)
- 腫れ(腫脹)、皮下出血、痛み、感染、つっぱり感、眼症状、しこり
- 施術の金額
- 38,500円(片側1点)~128,150円(両側3点:3年保証付き)(税込)(記事掲載時)
施術概要(目の上の脂肪取り(マイクロカット法))
- 施術概要
- まぶたの脂肪を取り、目の上の腫れぼったさを解消する施術です。
- 施術の副作用(リスク)
- 腫れ(腫脹)、皮下出血、痛み、感染、つっぱり感、眼症状、しこり、傷痕、アレルギー反応。
- 施術の金額
- 59,400円~99,550円(二重と同時の場合は52,250円~74,800円)(税込)(記事掲載時)
埋没法二重術(エクセレントアイ)について
「埋没二重術(エクセレントアイ)」
当院独自のほどけなくて切れない極細糸を使用して、
自然な仕上がりの二重を作ります。
腫れは本当に少ないので、ダウンタイムも短くて良い手術だと思います。
当院の「埋没法二重術(エクセレントアイ)」なら、術後の腫れを最小限に抑えることが出来ます。
「埋没法二重術(エクセレントアイ)」は、メスを使用せずに二重にする埋没法二重術なので、
万が一、形が気に入らない場合は、抜糸を行えば元に戻すことも可能です。
手術は約15~20分で終わります。
皮膚に傷痕も残らず、翌日からお化粧や洗顔、シャワーや入浴が可能です。
また、2点留めには1年間、3点留めには3年間の安心の保証が付いていますので、
もしもの時も安心です。

モニター募集のお知らせ
当院では、ただ今、「埋没法二重術(エクセレントアイ)」のモニター様を募集しております。
「埋没法二重術(エクセレントアイ)」 両4点(片側2点)
部分モニター様 82,830円(税込)(記事掲載時)
「埋没法二重術(エクセレントアイ)」 両6点(片側3点)
部分モニター様 95,150円(税込)(記事掲載時)
目の上の脂肪取り(マイクロカット法)について
「目の上の脂肪取り(マイクロカット法)」
上まぶたの脂肪(上眼窩脂肪)を摘出し、目の上の腫れぼったさを解消する手術です。。
まぶたのシワ(または、二重のライン上)を数ミリ小切開し、まぶたの上の脂肪(上眼窩脂肪)を取ります。
上まぶたが腫れぼったくてアイプチや埋没法がすぐ取れてしまう方、上まぶたの腫れぼったさを、もう少しスッキリさせたい方にオススメです。
二重と同時の場合 74,800円(税込)(記事掲載時)
ご興味のある方は、ご相談にいらしてください。
「埋没法二重術(エクセレントアイ)」について詳しくは、新宿ラクル美容外科クリニックオフィシャルサイト「埋没法二重術(エクセレントアイ)」のページをどうぞ。
症例のご紹介【通常版】-手術前から現在までの経過
次に、通常版もご紹介いたします。
今回は、埋没法で二重を作ることをご希望されていました。重瞼棒でのシミュレーションで瞼の開きが良くなる幅を見つけて、埋没法二重術(エクセレントアイ)を行うことになりました。
手術直後の腫れはこのくらいです。局所麻酔液と手術操作により腫れが出て、ご希望の幅より広くなっています。
まだ瞼には違和感の残る時期ですが、見た目としては、腫れはかなり落ち着いて来ています。
もともと、左側のみ奥二重のラインがありますが、腫れが引いてくると、左右差はもっと落ち着いて行きます。
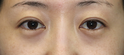
腫れが引いて来て、二重の左右差はほとんど気にならないご状態です。良い仕上がりではないかと思います。
続きまして、まぶたの変化を見てみましょう。
手術前のご状態です。

アイプチや付けまつ毛を使うと、のりなどの接着剤成分でまぶたの皮膚が薄くなり、ハリが無くなってしまうので、皮膚のたるみの原因になります。
個人差はありますが、手術直後の針痕や腫れ、皮下出血は、こんな感じです。
針痕が目立たなくなってきています。皮下出血が出ませんでしたが、これはご体質によるところも大きいです。
針痕はほとんど分からなくなってきました。女性の場合、お化粧が出来るので、術後数日からカバーできると思います。
手術の痕跡はほとんど残っていないので、至近距離で見られても平気です。
お知らせ
キャンペーンのおしらせ
ただ今、2月のキャンペーンを行っております。
宜しければ、チェックしてみてください。
六本木院勤務日のおしらせ
ちなみに、私は2月19日、26日、3月5日、12日、19日、26日は六本木院勤務になります。
マシン治療やオペ、注入も、新宿院とほぼ同じ施術が可能です。
宜しければいらっしゃって下さい。
当院のホームページについて
当院のホームページは、
新宿ラクル美容外科クリニックのオフィシャルサイトでご覧いただけます。
また、当院のスタッフブログもありますので、
宜しければれば「ラクル女子部のブログ」もご覧下さい。












