こんばんは。
新宿ラクル美容外科クリニックの山本厚志です。
本日も、朝から夜まで手術と処置がびっしりと埋まり、
年末の空気を一日中、感じることが出来ています。
毎日毎日、本当に沢山のご来院、どうもありがとうございます。
ここ数日では、山形県、新潟県、静岡県からのご来院がありました。
ご遠方からのご来院、大変ありがとうございました。
今年も残りわずかですが、どうぞ宜しくお願いいたします。
年内は、大晦日の夕方まで通常営業を行っております。
年始は1月3日から通常営業を行っております。
既に予約が埋まっている日もありますが、
手術をお検討の方は、お早目にご予約をお願いいたします。
今日は、当院で人気の「埋没法二重術(エクセレントアイ)(両側6点止め)」の術後経過をご紹介いたします。
埋没法二重術(エクセレントアイ)(両側6点止め)の症例ご紹介
症例は20代女性。
一重まぶたを二重まぶたにされたいとのリクエストでした。
特に右側が挙筋機能が弱いために、瞼が開きづらいご状態でした。
今回は、埋没法二重術をご希望でしたので、
なるべく開瞼が容易になる二重の幅を見つけようと考えました。
切る手術をご検討されていない方でも、
「切らない眼瞼下垂」という手術で瞼の開きを良くすることは可能ですが、
まずは、埋没法二重術をされてみて、
必要があれば考えられると良いのではないかと思いました。
症例のご紹介【ダイジェスト版】-手術前と手術後1ヶ月目の変化
まずは、ダイジェスト版でご紹介いたします。
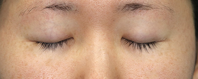
20代女性、手術前のご状態です。
瞼を開く眼瞼挙筋がやや弱いご状態です(特に右側)。今回は、埋没法で二重を作ることをご希望されていました。重瞼棒でのシミュレーションで瞼の開きがある程度改善したので、ご希望通り、埋没法二重術(エクセレントアイ)を行うことになりました。
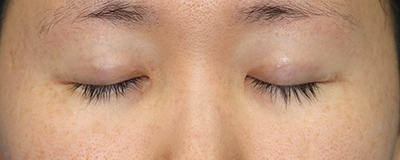
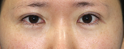
手術後1ヶ月目のご状態です。
どの方も瞼の左右差はあるものですが、ほぼ左右均等に揃ったのではないかと思います。目の開きが改善して、ご印象が良くなられました。


続きまして、まぶたの変化を見てみましょう。
手術前のご状態です。
アイプチや付けまつ毛を使うと、のりなどの接着剤成分でまぶたの皮膚が薄くなり、ハリが無くなってしまうので、皮膚のたるみの原因になります。
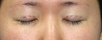
手術後1ヶ月目のご状態です。
術後の経過としては良いのではないかと思います。針痕は、かなり分かりにくくなっています。


施術概要(エクセレントアイ(埋没法二重術))
- 施術概要
- メスを使用せずに医療用の糸で上まぶたを留めて二重をつくる一般的にプチ整形と呼ばれる二重術です。
- 施術の副作用(リスク)
- 腫れ(腫脹)、皮下出血、痛み、感染、つっぱり感、眼症状、しこり。
- 施術の金額
- 38,500円(片側1点)~128,150円(両側3点:3年保証付き)(税込)(記事掲載時)
施術概要(目の上の脂肪取り(マイクロカット法))
- 施術概要
- まぶたの脂肪を取り、目の上の腫れぼったさを解消する施術です。
- 施術の副作用(リスク)
- 腫れ(腫脹)、皮下出血、痛み、感染、つっぱり感、眼症状、しこり、傷痕、アレルギー反応。
- 施術の金額
- 59,400円~99,550円(二重と同時の場合は52,250円~74,800円)(税込)(記事掲載時)
埋没法二重術(エクセレントアイ)について
「埋没二重術(エクセレントアイ)」
当院独自のほどけなくて切れない極細糸を使用して、
自然な仕上がりの二重を作ります。
腫れは本当に少ないので、ダウンタイムも短くて良い手術だと思います。
当院の「埋没法二重術(エクセレントアイ)」なら、術後の腫れを最小限に抑えることが出来ます。
「埋没法二重術(エクセレントアイ)」は、メスを使用せずに二重にする埋没法二重術なので、
万が一、形が気に入らない場合は、抜糸を行えば元に戻すことも可能です。
手術は約15~20分で終わります。
皮膚に傷痕も残らず、翌日からお化粧や洗顔、シャワーや入浴が可能です。
また、2点留めには1年間、3点留めには3年間の安心の保証が付いていますので、
もしもの時も安心です。

モニター募集のお知らせ
当院では、ただ今、「埋没法二重術(エクセレントアイ)」のモニター様を募集しております。
「埋没法二重術(エクセレントアイ)」 両4点(片側2点)
部分モニター様 82,830円(税込)(記事掲載時)
「埋没法二重術(エクセレントアイ)」 両6点(片側3点)
部分モニター様 95,150円(税込)(記事掲載時)
目の上の脂肪取り(マイクロカット法)について
「目の上の脂肪取り(マイクロカット法)」
上まぶたの脂肪(上眼窩脂肪)を摘出し、目の上の腫れぼったさを解消する手術です。。
まぶたのシワ(または、二重のライン上)を数ミリ小切開し、まぶたの上の脂肪(上眼窩脂肪)を取ります。
上まぶたが腫れぼったくてアイプチや埋没法がすぐ取れてしまう方、上まぶたの腫れぼったさを、もう少しスッキリさせたい方にオススメです。
二重と同時の場合 74,800円(税込)(記事掲載時)
ご興味のある方は、ご相談にいらしてください。
「埋没法二重術(エクセレントアイ)」について詳しくは、新宿ラクル美容外科クリニックオフィシャルサイト「埋没法二重術(エクセレントアイ)」のページをどうぞ。
症例のご紹介【通常版】-手術前から現在までの経過
次に、通常版もご紹介いたします。
20代女性、手術前のご状態です。
瞼を開く眼瞼挙筋がやや弱いご状態です(特に右側)。今回は、埋没法で二重を作ることをご希望されていました。重瞼棒でのシミュレーションで瞼の開きがある程度改善したので、ご希望通り、埋没法二重術(エクセレントアイ)を行うことになりました。
手術直後の変化です。
手術直後の腫れはこのくらいです。局所麻酔液と手術操作により腫れが出て、ご希望の幅より広くなっています。
手術後3日目のご状態です。
3日あれば、通常は、ある程度腫れが落ち着くものです。まだ、ご希望の二重幅よりは広いご状態です。
手術後1週間目の変化です。
ほぼ完成形です。手術前と比較すると、目が開きやすくなりました。良い感じの変化だと思います。
手術後1ヶ月目のご状態です。
どの方も瞼の左右差はあるものですが、ほぼ左右均等に揃ったのではないかと思います。目の開きが改善して、ご印象が良くなられました。
続きまして、まぶたの変化を見てみましょう。
手術前のご状態です。
アイプチや付けまつ毛を使うと、のりなどの接着剤成分でまぶたの皮膚が薄くなり、ハリが無くなってしまうので、皮膚のたるみの原因になります。
手術直後の変化です。
個人差はありますが、手術直後の針痕はこんな感じです。
手術後3日目のご状態です。
3日目で針痕はこのくらい目立たなくなります。
手術後1週間目の変化です。
1週間が経過して、針痕はほとんど分からなくなりました。
手術後1ヶ月目のご状態です。
術後の経過としては良いのではないかと思います。針痕は、かなり分かりにくくなっています。
お知らせ
キャンペーンのおしらせ
ただ今、12月のキャンペーンを行っております。

宜しければ、チェックしてみてください。
六本木院勤務日のおしらせ
ちなみに、私は1月8日、15日、22日、29日、2月5日、12日、19日、26日は六本木院勤務になります。
マシン治療やオペ、注入も、新宿院とほぼ同じ施術が可能です。
宜しければいらっしゃって下さい。
当院のホームページについて
当院のホームページは、
新宿ラクル美容外科クリニックのオフィシャルサイトでご覧いただけます。
また、当院のスタッフブログもありますので、
宜しければれば「ラクル女子部のブログ」もご覧下さい。






