こんばんは。
新宿ラクル美容外科クリニックの山本厚志です。
今日は、六本木院勤務でした。
今日も朝から夜まで、忙しい一日を過ごすことが出来ました。
また、ここ数日では、USA、オーストラリア、香港、宮城県、静岡県からのご来院がありました。
ご遠方からのご来院、大変励みになります。
どうもありがとうございました。
今月後半も、どうぞよろしくお願いいたします。
今日は、「切らない目の下のたるみ取り + ヒアルロン酸(目の下)」の術後経過をご紹介いたします。
切らない目の下のたるみ取り+ヒアルロン酸(tear trough)の症例ご紹介
症例のご紹介【ダイジェスト版】-手術前と12ヶ月目の変化
まずは、ダイジェスト版でご紹介させて頂きます。
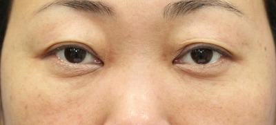
40代女性の手術前のご状態です。
目の下のクマ(目の下のふくらみと凹み)を気にされていました。カウンセリングの結果、「切らない目の下のたるみ取り」で改善を図ることになりました。本来であれば、切開を伴った目の下のたるみ取りの手術がご適応です。
手術後12ヶ月目の変化です。
術後1年が経過しましたが、目の下はスッキリしたままです。特に追加での治療は行っておりません。
before-afterをスライドでご紹介します。


中央の丸を左右に動かしてみてください。
斜めからの変化も、ご紹介します。
手術前のご状態です。
40代の方ですが、目の下が膨らんでいると、実年齢よりも上に見えてしまいます。
手術後12ヶ月目の変化です。
目の下のおシワが気になる場合には、リジュランやベビーコラーゲンの治療を行うと、改善します。


反対側の変化も、ご紹介します。
手術前のご状態です。
目の下のくまを悩まれていました。膨らみが無くならない限り、目の下のクマは解消しません。
手術後12ヶ月目の変化です。
摘出した下眼窩脂肪の量はちょうど良かったと思われます。1年後のご状態としては良いと思います。


施術概要(切らない目の下のたるみ取り)
- 施術概要
- 眼瞼結膜(あかんべーをした時の赤目の部分)に小さい穴をあけ、膨らみの原因である下眼窩脂肪を取り出して目の下のたるみを改善する施術です。
- 施術の副作用(リスク)
- 腫れ(腫脹)、皮下出血、感染、血腫、痛み、眼症状、傷痕。
- 施術の金額
- 102,630円~171,050円(片側、両側)(税込)(記事掲載時)
切らない目の下のたるみ取りについて
切らない目の下のたるみ取りは、こんな方にオススメです。
「切らない目の下のたるみ取り」は、こんな方におススメです。
・生まれつき目の下が膨らんでいる方
・目の下のクマで悩まれている方
・目の下のクマにヒアルロン酸を注入しても改善しない方
・年齢と共に目の下が膨らんできた方
・年齢的に皮膚のたるみもあるが、皮膚切開には抵抗のある方
切らない目の下のたるみ取りとは?
「切らない目の下のたるみ取り」とは、
先天的に目の下の眼窩脂肪の量が多いと、20代や30代でも目の下のふくらみが気になるという方がいらっしゃいます。
このようなケースでは、皮膚の切除は必要ない場合が多く、脂肪の除去だけで十分なことが多いです。
目の下が膨らんでくる原因としては、次の3パターンがあります。
①子供のころから下眼窩脂肪の量が多い
小中学生でも目の下が膨らんでいる方がいらっしゃいます。
気になる場合は、思春期が終わる大学生くらいになってから、
この手術されると良いと思います。
このパターンが一番綺麗に仕上がると思います。
②年齢と共に下眼窩脂肪が膨らんで来る
大体、40~50歳くらいから膨らみ始める方が多い様に思います。
早い方だと、30代でも膨らんできます。
遅くとも40歳代後半で手術を受けられた方が良いと思います。
③上記①+②の両方
もともと下眼窩脂肪が多いのに加齢性に膨らんでしまうと、皮膚もたるんでしまい、
目の下の皮膚切除も併用しないと綺麗に仕上がらなくなってしまいます。
つまり、加齢性に膨らみ始める前に、下眼窩脂肪を減らしておきたいところです。
50代以降の方は、皮膚切除も同時に行った方が綺麗に仕上がります。
「切らない目の下のたるみ取り」は、
目の下のクマが目立つ症例に対して行う手術ですが、
目の下のクマが目立つ原因としては、
①下眼瞼の下眼窩脂肪の量が多いこと(目の下の脂肪の膨らみが大きいこと)
②中顔面の皮下脂肪が薄くなりボリュームが不足してくること(目の下~ゴルゴ線にかけて凹んでくること)
があげられます。

治療方法は
①下眼窩脂肪の量を減らす(切らない目の下のたるみ取りで下眼窩脂肪を減らします)
②中顔面のボリュームアップを図る(ヒアルロン酸などでゴルゴ線を埋めます)
③両方行う
しかありません。
若い方では、目の下の下眼窩脂肪の量が減ると涙袋が目立つようになることが多いです。
年配の方では、目袋が目立たなくなるのですが、逆に皮膚のシワが増えるケースもあり、皮膚切除の併用や、シワに対してベビーコラーゲンの注入が必要になることがあります。
年配の方でも、皮膚切除がどうしても抵抗があれば、
この手術である程度の改善を図ることが可能な場合もあります。
宜しければ、カウンセリングでご相談ください。
モニター募集のお知らせ
ただ今、当院では、「切らない目の下のたるみ取り」のモニター様を募集しております。

モニター 143,550円(税込)(記事掲載時)になります。
ご希望のある方は、お問い合わせくださいませ。
「切らない目の下のたるみ取り」について詳しくは、新宿ラクル美容外科クリニックオフィシャルサイト「切らない目の下のたるみ取り」のページをどうぞ。
症例のご紹介【通常版】-手術前から現在までの経過
続きまして、通常版でご紹介させて頂きます。
40代女性の手術前のご状態です。
目の下のクマ(目の下のふくらみと凹み)を気にされていました。カウンセリングの結果、「切らない目の下のたるみ取り」で改善を図ることになりました。本来であれば、切開を伴った目の下のたるみ取りの手術がご適応です。
手術直後のご状態です。
手術直後の腫れはこの程度です。下眼窩脂肪は適切な量を摘出しています。
手術後1週間目の変化です。
腫れが引いて来て、目の下の膨らみと凹みが目立たなくなってきました。目の下のシワは「ベビーコラーゲン」や「リジュランi」が良いご適応だと思います。
手術後1ヶ月目のご状態です。
下眼窩脂肪の摘出量は適切であったと思います。ヒアルロン酸で埋めたtear troughも良い感じです。
手術後3ヶ月目の変化です。
下眼窩脂肪による膨らみが無くなり、tear troughによる凹みが無くなると、目の下がフラットになり、見た目年齢が若返ります。
手術後6ヶ月目のご状態です。
目の下の皮膚に余りはあるのですが、ベビーコラーゲンやリジュランiなどの注入治療を併用することで、ある程度は目立たなくすることが可能です。
手術後12ヶ月目の変化です。
術後1年が経過しましたが、目の下はスッキリしたままです。特に追加での治療は行っておりません。
斜めからの変化も、ご紹介します。
手術前のご状態です。
40代の方ですが、目の下が膨らんでいると、実年齢よりも上に見えてしまいます。
手術直後のご状態です。
手術中に、何回も坐位にして、下眼窩脂肪の摘出量が多いか少ないかを判定しながら手術を進めています。
手術後1週間目の変化です。
下眼窩脂肪の膨らみを取り除くと、まぶたが開きやすくなる方が多いです。見た目年齢も若返りました。
手術後1ヶ月目のご状態です。
下眼窩脂肪の膨らみとtear troughの凹みが改善しています。術後の目の下の小じわには、「ベビーコラーゲン」や「リジュランi」が効果的です。
手術後3ヶ月目の変化です。
目の下の余分な下眼窩脂肪が減ることで、開瞼(瞼を開くこと)が容易になりました。
手術後6ヶ月目のご状態です。
目の下の膨らみと凹みが改善すると、見た目年齢が若返ります。
手術後12ヶ月目の変化です。
目の下のおシワが気になる場合には、リジュランやベビーコラーゲンの治療を行うと、改善します。
反対側の変化も、ご紹介します。
手術前のご状態です。
目の下のくまを悩まれていました。膨らみが無くならない限り、目の下のクマは解消しません。
手術直後のご状態です。
下眼窩脂肪によるふくらみが軽減しています。
手術後1週間目の変化です。
目立っていた目の下のクマが、スッキリしました。当然ですが、ふくらみの下に注射を打っただけでこのような変化は出ません。
手術後1ヶ月目のご状態です。
この手術では、目の下の見た目年齢がかなり若返る方が多いです。
手術後3ヶ月目の変化です。
目の下がスッキリしました。小じわは、ベビーコラーゲンやリジュランiで改善が可能です。
手術後6ヶ月目のご状態です。
下眼窩脂肪による目の下の膨らみと、tear troughの目の下のクマの凹みが改善し、開瞼(目を開くこと)も容易になっています。
手術後12ヶ月目の変化です。
摘出した下眼窩脂肪の量はちょうど良かったと思われます。1年後のご状態としては良いと思います。
お知らせ
キャンペーンのおしらせ
ただ今、7月のキャンペーンを行っております。

宜しければ、チェックしてみてください。
六本木院勤務日のおしらせ

ちなみに、私は7月24日、31日、8月7日、14日、21日、28日は六本木院勤務になります。
マシン治療やオペ、注入も、新宿院とほぼ同じ施術が可能です。
宜しければいらっしゃって下さい。
当院のホームページでは、他の施術もたくさん紹介しています。
ご興味のある方は、宜しければ、ご覧になってみてください。
当院のホームページについて
当院のホームページは、
新宿ラクル美容外科クリニックのオフィシャルサイトでご覧いただけます。
また、当院のスタッフブログもありますので、
宜しければれば「ラクル女子部のブログ」もご覧下さい。





