こんばんは。
新宿ラクル美容外科クリニックの山本厚志です。
本日も沢山の方々にご来院頂けて、忙しく一日を過ごすことが出来ました。
沢山のご来院、感謝しております。
また、本日は、京都府、山梨県からのご来院がありました。
ご遠方からのご来院、とても励みになります。
明日も、沢山のご予約を頂いておりますので、
体調管理をしっかりと行って、万全の態勢で臨みたいと思います。
明日も、どうぞよろしくお願いいたします。
「目尻拡大術+目頭切開+眉下切開」の術後経過をご紹介いたします。
目尻拡大術+目頭切開+眉下切開の症例ご紹介
症例は、30代女性です。
目尻拡大術を行って、つり目の印象を改善したい。
また、目頭切開と眉下切開も併用して、大きな目の印象に変えられたい、とのリクエストでした。
お目元の手術歴は、特にないとのことでした。
症例のご紹介【ダイジェスト版】-手術前と12ヶ月目の変化
始めに、ダイジェスト版でご紹介いたします。
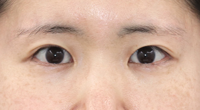
30代女性の手術前のご状態です。
「目尻拡大術」で目尻側の上りを下げて、優しい印象に変えていきたいと思います。
また、「目頭切開」では、寄せ過ぎないことを希望されていました。内眼角幅(目頭間の距離)は37mmでした。
「眉下切開」を併用して、上瞼のたるみも減らしたいというリクエストでした。
極力、大きな目、になるようにしていきたいと思います。
手術後12ヶ月目の変化です。
「眉下切開」により、目の開きが改善しました。「目頭切開」により、黒目の内側の白目の面積が広がりました。「目尻拡大術」により、黒目より外側の白目の面積が広がりました。3つの変化で、術前と比較して、目が大きな印象に変わりました。


斜めからの変化も、ご紹介します。
手術前のご状態です。
「目尻拡大術」で目尻が外側と下側に広がると、優しい印象の目に変わると思います。
また、「目頭切開」で蒙古ひだのツッパリが軽減すると、目の開きが良くなると予想されました。
上瞼のたるみに対しては、二重のラインで調整するのではなく、なるべく自然な仕上がりを目指して「眉下切開」を選択しました。
手術後12ヶ月目の変化です。
「眉下切開」により、上瞼のたるみが減ったことで、目の開きが良くなっているにもかかわらず、重瞼幅も少し広がり、良い感じの変化です。
3つの手術共に、術後1年が経過して、お傷痕はほとんど分からなくなりました。


反対側の変化も、ご紹介します。
手術前のご状態です。
目尻側のつり上がりが改善すると、優しいご印象になると思われました。
大きなはっきりとしたご印象のお目元に変えていきたいと思います。
手術後12ヶ月目の変化です。
「目尻拡大術」は、目の下の淵(ボトムライン)が自然に下がるので、優しいお目元に変化します。
全体的に、整形感無く、自然に目が大きくなりました。


施術概要(目尻拡大術)
- 施術概要
- つり上がっている目尻を、外方向と下方向に拡大して、自然で優しいお目元にする手術です。
- 施術の副作用(リスク)
- 腫れ(腫脹)、皮下出血、痛み、感染、眼症状(目の違和感、涙の増加など)、傷痕、しこり
- 施術の金額
- 440,000円(税込)(記事掲載時)
施術概要(眉下切開法)
- 施術概要
- 眉毛の下縁に沿って余分な皮膚を切り取り、上まぶたのたるみを改善する施術です。
- 施術の副作用(リスク)
- 腫れ(腫脹)、皮下出血、痛み、感染、熱感、眼症状、傷痕、しこり、アレルギー反応。
- 施術の金額
- 286,000円(税込)(記事掲載時)
施術概要(目頭切開)
- 施術概要
- 上まぶたの内側から目頭にかけて覆いかぶさっている皮膚(蒙古ひだ)を取り除く施術です。
- 施術の副作用(リスク)
- 腫れ(腫脹)、皮下出血、痛み、感染、眼症状(目の違和感、涙の増加など)、傷痕、しこり
- 施術の金額
- 113,850円(片側)~187,000円(両側)(税込)(記事掲載時)
目尻拡大術とは
「目尻拡大術」とは、
目尻の三角形の形を保ちながら、目尻側の白目を外側と下側に拡大することで、つり目の印象を優しく変える手術です。
たれ目にはしたくないけど、目尻側に目を拡げるのと併せて目の縦幅を大きくしたい、という方に人気です。
モニター募集のお知らせ
当院では、ただ今、「目尻切開法」のモニター様を募集しております。
「目尻拡大術」
部分モニター様 400,000円(税込)(記事掲載時
ご希望のある方は、お問い合わせくださいませ。
「目尻拡大術」について詳しくは、新宿ラクル美容外科クリニックオフィシャルサイト「目尻拡大術」のページをどうぞ。
症例のご紹介【通常版】-手術前から現在までの経過
続きまして、通常版でご紹介いたします。
30代女性の手術前のご状態です。
「目尻拡大術」で目尻側の上りを下げて、優しい印象に変えていきたいと思います。
また、「目頭切開」では、寄せ過ぎないことを希望されていました。内眼角幅(目頭間の距離)は37mmでした。
「眉下切開」を併用して、上瞼のたるみも減らしたいというリクエストでした。
極力、大きな目、になるようにしていきたいと思います。
デザインです。
このようにデザインしてみました。眉下切開では、たるみの程度から、最大皮膚切除幅は左側6mm、右側5mmにしました。
手術直後の変化です。
手術直後で、縫合の糸が残ります。ご体質的に、皮下出血はやや出やすいと思われます。
眼球結膜(白目)に糸の断端が当たらないように、糸は外側にステリーでとめています。
手術後1週間目のご状態です。
目尻が外側+下方向に広がったことで、目尻側の白目が拡大しました。また、目頭切開により、白目は目頭側にも拡大しています。
抜糸が終わったばかりで、まだ赤みがありますが、これから徐々に目立たなくなっていきます。
手術後1ヶ月目の変化です。
まだ、お傷痕の赤みが残りますが、「目尻拡大術」により、目尻が外側+下方向に広がったことで、目尻側の白目が拡大して、つり目のご印象が改善されています。「目頭切開」では、蒙古ひだのツッパリを解除することを目的として、寄せ過ぎないように気を付けました。
「眉下切開」のお傷痕の赤みがまだ目立ちますが、眉毛が下がり、上瞼のたるみが減ったことで、上瞼のかぶりがすっきりしました。
手術後2ヶ月目のご状態です。
「目尻拡大術」で、目の下のボトムラインが下がり、優しいお目元になりました。また、目が外側に広がりました。
「目頭切開」で蒙古ひだのツッパリが弱くなったことで、目の内側も大きくなりました。
「眉下切開」もご併用いただいたことで、上瞼のたるみが減り、他の2つと合わせて、ぱっちりしたお目元になりました。
手術後3ヶ月目の変化です。
白目の面積が内側にも外側にも広がり、上瞼のたるみが減ったことで、大きな目のご印象に変わりました。お傷痕も、徐々に目立たなくなってきました。
手術後6ヶ月目のご状態です。
眉下や目頭のお傷痕が徐々に目立たなくなってきました。術前と比較して、白目の面積がかなり広がっています。
術前と比較して、目が大きな印象に変わってきました。
手術後12ヶ月目の変化です。
「眉下切開」により、目の開きが改善しました。「目頭切開」により、黒目の内側の白目の面積が広がりました。「目尻拡大術」により、黒目より外側の白目の面積が広がりました。3つの変化で、術前と比較して、目が大きな印象に変わりました。
斜めからの変化も、ご紹介します。
手術前のご状態です。
「目尻拡大術」で目尻が外側と下側に広がると、優しい印象の目に変わると思います。
また、「目頭切開」で蒙古ひだのツッパリが軽減すると、目の開きが良くなると予想されました。
上瞼のたるみに対しては、二重のラインで調整するのではなく、なるべく自然な仕上がりを目指して「眉下切開」を選択しました。
デザインです。
「目尻拡大術」では、下まつげが損傷しないように気を付けて手術を行っていきます。
また、「目頭切開」では、蒙古ひだのかぶりを軽減することを目的として、寄りすぎないように気を付けて手術を行っています。
眉下切開では、たるみの範囲と程度を正確に把握して、的確なデザインに基づいて、丁寧な手術を行うことが重要です。
手術直後の変化です。
手術直後で糸がついています。「目尻拡大術」の糸は、目に当たると痛いので、長めに切って目尻側にとめています。
手術後1週間目のご状態です。
抜糸直後のご状態です。まだ腫れていて皮下出血も残りますが、お目元のご印象が変わりました。
手術後1ヶ月目の変化です。
「目尻拡大術」により、つり目のご印象が改善しています。全体的に見て、術前よりも「大きな目」に変化しています。
お傷痕の赤みはこれから徐々に目立たなくなっていきます。
手術後2ヶ月目のご状態です。
「眉下切開」で、上瞼のたるみが減りました。眉毛が下がり、額のしわを予防できます。眉毛が下がったのに、目の開きが良くなり、二重の幅が広がりました。
目頭切開のお傷痕は徐々に目立たなくなりました。
「目尻拡大術」により、白目の外側が広くなりました。
手術後3ヶ月目の変化です。
「目頭切開」は、仕上がりを見極めないと、「蒙古ひだ形成」で修正することになります。自然な仕上がりになり、目の開きも良くなりました。
「目尻拡大術」でつり目の印象が改善しています。
また、「眉下切開」で、上瞼のたるみが減り、目の開きが良くなりました。
手術後6ヶ月目のご状態です。
「目尻拡大術」では、目尻の位置が外側に広がり、ボトムラインも下がったことで、外側の白目の面積が広がりました。
「眉下切開」と「目頭切開」のお傷痕はかなり目立たなくなってきました。
手術後12ヶ月目の変化です。
「眉下切開」により、上瞼のたるみが減ったことで、目の開きが良くなっているにもかかわらず、重瞼幅も少し広がり、良い感じの変化です。
3つの手術共に、術後1年が経過して、お傷痕はほとんど分からなくなりました。
反対側の変化も、ご紹介します。
手術前のご状態です。
目尻側のつり上がりが改善すると、優しいご印象になると思われました。
大きなはっきりとしたご印象のお目元に変えていきたいと思います。
デザインです。
このようにデザインしています。眉下切開では、たるみの程度を見ながら左右でデザインを調整しています。
手術直後の変化です。
「目尻拡大術」では、まつ毛の近くを極細の糸で丁寧に縫合しています。
手術後1週間目のご状態です。
抜糸直後で、お傷痕に赤みや腫れが残りますが、これから徐々に目立たなくなります。
白目のところの眼球結膜浮腫は、通常、抜糸後数日で落ち着いてきます。
手術後1ヶ月目の変化です。
なるべく整形した感が出ないような変化を目指しています。お傷痕の赤みが引けば、かなり自然なご印象に仕上がると思います。
手術後2ヶ月目のご状態です。
蒙古ひだのツッパリが減ると、目の開きが良くなります。
目尻拡大術は、最近、受けられる方が多いですが、釣り目気味の方には、良い手術だと思います。
手術後3ヶ月目の変化です。
目が大きくなりました。お傷痕は徐々に目立たなくなってきて、良い変化になりました。
手術後6ヶ月目のご状態です。
こちら側の白目も外側にしっかりと広がっています。目のご印象が変わりました。
v手術後12ヶ月目の変化です。
「目尻拡大術」は、目の下の淵(ボトムライン)が自然に下がるので、優しいお目元に変化します。
全体的に、整形感無く、自然に目が大きくなりました。
お知らせ
キャンペーンのおしらせ
ただ今、12月のおすすめ治療を行っております。
宜しければ、チェックしてみてください。
六本木院勤務日のおしらせ
ちなみに、私は1月6日、13日、20日、27日、2月3日、10日、17日、24日は六本木院勤務になります。
マシン治療やオペ、注入も、新宿院とほぼ同じ施術が可能です。
宜しければいらっしゃって下さい。
当院のホームページについて
当院のホームページでは、他の施術もたくさん紹介しています。
ご興味のある方は、宜しければ、ご覧になってみてください。
当院のホームページは、
新宿ラクル美容外科クリニックのオフィシャルサイトでご覧いただけます。
また、当院の「公式Instagram」も宜しければご覧下さい。






