こんばんは。
新宿ラクル美容外科クリニックの山本厚志です。
また、本日もとても忙しい一日を過ごしていました。
沢山のご来院、どうもありがとうございました。
また、本日は、福岡県、宮城県からのご来院がありました。
ご遠方からのご来院、とても励みになります。
明日も、どうぞよろしくお願いいたします。
今日は、「裏ハムラ法(目の下のクマ・たるみ取り)」の術後経過をご紹介いたします。
裏ハムラ法(目の下のクマ・たるみ取り)の症例ご紹介
症例のご紹介【ダイジェスト版】-手術前と3ヶ月目の変化
まずは、ダイジェスト版でご紹介させて頂きます。
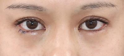
20代女性の手術前のご状態です。
目の下のクマ(目の下のふくらみと凹み)を気にされていました。
カウンセリングの結果、「裏ハムラ法(目の下のクマ・たるみ取り)」で改善を図ることになりました。
手術後3ヶ月目の変化です。
目の下の凹凸が減ったことで、光を受けやすくなり、クマが目立たなくなりました。
色素沈着や血管の透けよりも、ふくらみによる影が原因だったと思います。


斜めからの変化も、ご紹介します。
手術前のご状態です。
目の下に膨らみと凹みがあると、実年齢よりも上に見えたり、疲れて見えたりします。
手術後3ヶ月目の変化です。
目の下のふくらみと凹みが軽減したことで、お目元のご印象が変わりました。


反対側の変化も、ご紹介します。
手術前のご状態です。
目の下のくまを悩まれていました。他院で、目の下のクマにヒアルロン酸を注入されても、クマは一向に改善しなかったそうです。
手術後3ヶ月目の変化です。
目の下の下眼窩脂肪のふくらみが軽減すると、涙袋の境界がはっきりすることが多いです。


施術概要(裏ハムラ法(目の下のクマ・たるみ取り))
- 施術概要
- 下まぶたの裏側(赤目の部分)を切開して、原因の下眼窩脂肪を移動・固定して目の下のクマや膨らみを改善する施術です。
- 施術の副作用(リスク)
- 腫れ(腫脹)、皮下出血、痛み、感染、眼症状(目の違和感、涙の増加など)、傷痕、しこり、アレルギー反応
- 施術の金額
- 289,000円(両側)(税込)(記事掲載時)
裏ハムラ法(目の下のクマ・たるみ取り)について
裏ハムラ法(目の下のクマ・たるみ取り)は、こんな方にオススメです。
「裏ハムラ法(目の下のクマ・たるみ取り)」は、こんな方におススメです
- 目の下の膨らみやクマが気になる方
- 目の下のたるみが気になる方
- メイクで目の下のクマが隠れない方
裏ハムラ法(目の下のクマ・たるみ取り)とは?
「裏ハムラ法(目の下のクマ・たるみ取り)」とは、
目の下の膨らみの原因である眼窩脂肪を、移動・固定することで、目の下を凹凸の無いフラットな状態に改善する施術です。
目の下がフラットになることで影となってできていたクマが無くなるため、目元の印象が若々しくなります。
韓国では「脂肪再配置」と呼ばれており、同じ治療法です。
術式は、下まぶたの裏側から行う「裏ハムラ法」と皮膚の表側から行う「表ハムラ法」があります。
表ハムラ法で施術を行う際は、逆まつげ治療を同時に受けていただくことも可能です。
「裏ハムラ法(目の下のクマ・たるみ取り)」は、
眼瞼結膜(あかんべーをした時の赤目の部分)を切開して行う方法です。下まぶたの内側を縫合するため、傷口がわからないのが特徴です。
モニター募集のお知らせ
ただ今、当院では、「裏ハムラ法(目の下のクマ・たるみ取り)」のモニター様を募集しております。
モニター 249,000円(税込)(記事掲載時)になります。
ご希望のある方は、お問い合わせくださいませ。
「裏ハムラ法(目の下のクマ・たるみ取り)」について詳しくは、新宿ラクル美容外科クリニックオフィシャルサイト「裏ハムラ法(目の下のクマ・たるみ取り)」のページをどうぞ。
症例のご紹介【通常版】-手術前から現在までの経過
続きまして、通常版でご紹介させて頂きます。
20代女性の手術前のご状態です。
目の下のクマ(目の下のふくらみと凹み)を気にされていました。
カウンセリングの結果、「裏ハムラ法(目の下のクマ・たるみ取り)」で改善を図ることになりました。
デザインです。
左右のふくらみが気になる部位と、tear troughの凹みをデザインしています。
手術直後のご状態です。
手術直後の腫れと皮下出血のご状態をご確認いただきます。
手術後1週間目の変化です。
腫れと皮下出血が徐々に引いて来て、目の下のクマが少し目立たなくなってきました。
手術後1ヶ月目のご状態です。
術後1ヶ月が経過しましたが、皮下出血が引き、目の下の膨らみと凹みは、手術前と比較して目立たなくなっています。また、涙袋がハッキリしてきました。
手術後2ヶ月目の変化です。
目の下のふくらみが減り、クマの部分(tear trough)の凹みが浅くなったことで、全体的に目の下がフラットになり、お目元のご印象が明るくなりました。
手術後3ヶ月目の変化です。
目の下の凹凸が減ったことで、光を受けやすくなり、クマが目立たなくなりました。
色素沈着や血管の透けよりも、ふくらみによる影が原因だったと思います。
斜めからの変化も、ご紹介します。
手術前のご状態です。
目の下に膨らみと凹みがあると、実年齢よりも上に見えたり、疲れて見えたりします。
デザインです。
このようにデザインしています。tear troughの凹みも改善していきたいと思います。
手術直後のご状態です。
皮膚に皮下出血は出ていますが、腫れはさほどでもありません。
手術後1週間目の変化です。
まだ、腫れは残りますが、目の下のクマが改善傾向です。皮下出血はずいぶんと目立たなくなりました。
手術後1ヶ月目のご状態です。
目の下のクマが目立たなくなっています。皮下出血や腫れはほとんど引いています。目力が増しました。
手術後2ヶ月目の変化です。
tear troughの凹みが影になり目立っていましたが、凹凸が減ったことで、目の下が光を受けやすくなり、目元が明るくなりました。
手術後3ヶ月目の変化です。
目の下のふくらみと凹みが軽減したことで、お目元のご印象が変わりました。
反対側の変化も、ご紹介します。
手術前のご状態です。
目の下のくまを悩まれていました。他院で、目の下のクマにヒアルロン酸を注入されても、クマは一向に改善しなかったそうです。
デザインです。
今回は、裏ハムラ法なので、皮膚に切開創は残りません。
手術直後のご状態です。
腫れと皮下出血が出ていますが、これから徐々に落ち着いていきます。
手術後1週間目の変化です。
まだ腫れが残りますが、術前よりも目の下のクマが改善傾向です。
手術後1ヶ月目のご状態です。
下眼窩脂肪の再配置により、目の下がフラットになり、開瞼(目の開き)が容易になる方が多いです。
目の下のふくらみが減ったことで、涙袋がしっかりしてきました。
手術後2ヶ月目の変化です。
目の下のふくらみが減り、クマが目立たなくなっただけでなく、涙袋がハッキリするようになりました。
手術後3ヶ月目の変化です。
目の下の下眼窩脂肪のふくらみが軽減すると、涙袋の境界がはっきりすることが多いです。
お知らせ
キャンペーンのおしらせ
ただ今、11月のおすすめ治療を行っております。
宜しければ、チェックしてみてください。
六本木院勤務日のおしらせ
ちなみに、私は11月11日、18日、25日、12月2日、9日、16日、23日、30日は六本木院勤務になります。
マシン治療やオペ、注入も、新宿院とほぼ同じ施術が可能です。
宜しければいらっしゃって下さい。
当院のホームページについて
当院のホームページでは、他の施術もたくさん紹介しています。
ご興味のある方は、宜しければ、ご覧になってみてください。
当院のホームページは、
新宿ラクル美容外科クリニックのオフィシャルサイトでご覧いただけます。
また、当院の「公式Instagram」も宜しければご覧下さい。






