こんばんは。
新宿ラクル美容外科クリニックの山本厚志です。
今日は、新宿院での勤務でしたが、今日も、朝から夜まで手術と処置が続き、とても忙しい一日を過ごすことが出来ました。
沢山のご来院、大変ありがとうございます。
明日も、どうぞ宜しくお願いいたします。
今日は、当院で人気の「埋没法二重術(エクセレントアイ)+目の上の脂肪取り(マイクロカット法)」の術後経過をご紹介いたします。
埋没法二重術(エクセレントアイ)+目の上の脂肪取り(マイクロカット法)の症例ご紹介
症例のご紹介【ダイジェスト版】-手術前と手術後1ヶ月目の変化
まずは、ダイジェスト版でご紹介いたします。
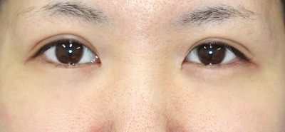
20代女性、手術前のご状態です。
奥二重を、ある程度幅のある二重にされたいとのご希望でした。上瞼の上眼窩脂肪が多いため、開瞼が妨げられています。
ご相談の結果、「埋没法二重術(エクセレントアイ)(両側6点止め)+目の上の脂肪取り(マイクロカット法)」を行うことになりました。
手術後1ヶ月目のご状態です。
二重の折り返しのところの上眼窩脂肪が減ったことで、二重のラインがハッキリしています。


続きまして、まぶたの変化を見てみましょう。
手術前のご状態です。
アイプチや付けまつ毛を使うと、接着剤の成分でまぶたの皮膚が傷んで、たるんでしまいますので、ご注意ください。
手術後1ヶ月目のご状態です。
手術痕がまだ目立ちますが、これから徐々にお傷痕は目立たなくなっていきます。


施術概要(エクセレントアイ(埋没法二重術))
- 施術概要
- メスを使用せずに医療用の糸で上まぶたを留めて二重をつくる一般的にプチ整形と呼ばれる二重術です。
- 施術の副作用(リスク)
- 腫れ(腫脹)、皮下出血、痛み、感染、つっぱり感、眼症状、しこり
- 施術の金額
- 38,500円(片側1点)~128,150円(両側3点:3年保証付き)(税込)(記事掲載時)
施術概要(目の上の脂肪取り(マイクロカット法))
- 施術概要
- まぶたの脂肪を取り、目の上の腫れぼったさを解消する施術です。
- 施術の副作用(リスク)
- 腫れ(腫脹)、皮下出血、痛み、感染、つっぱり感、眼症状、しこり、傷痕、アレルギー反応
- 施術の金額
- 59,400円~99,550円(二重と同時の場合は52,250円~74,800円)(税込)(記事掲載時)
埋没法二重術(エクセレントアイ)について
埋没法二重術(エクセレントアイ)では、
当院独自のほどけなくて切れない極細糸を使用して、
自然な仕上がりの二重を作ります。
腫れは本当に少ないので、ダウンタイムも短くていい手術だと思います。
当院の「埋没法二重術(エクセレントアイ)」なら、
術後の腫れを最小限に抑えることが出来ます。
この手術では、当院特注の針糸を使い、
外れにくい糸の止め方で手術を行っております。

モニター募集のお知らせ
当院では、ただ今、「埋没法二重術(エクセレントアイ)」のモニター様を募集しております。
「埋没法二重術(エクセレントアイ) 両4点(片側2点)」
部分モニター様 82,830円(税込)(記事掲載時)
「埋没法二重術(エクセレントアイ) 両6点(片側3点)」
部分モニター様 95,150円(税込)(記事掲載時)
「目の上の脂肪取り(マイクロカット法)」

二重と同時の場合 74,800円(税込)(記事掲載時)
ご興味のある方は、ご相談にいらしてください。
「埋没法二重術(エクセレントアイ)」について詳しくは、新宿ラクル美容外科クリニックオフィシャルサイト「埋没法二重術(エクセレントアイ)」のページをどうぞ。
症例のご紹介【通常版】-手術前から現在までの経過
続きまして、通常版でご紹介いたします。
20代女性、手術前のご状態です。
奥二重を、ある程度幅のある二重にされたいとのご希望でした。上瞼の上眼窩脂肪が多いため、開瞼が妨げられています。
ご相談の結果、「埋没法二重術(エクセレントアイ)(両側6点止め)+目の上の脂肪取り(マイクロカット法)」を行うことになりました
手術直後のご状態です。
直後で腫れていますが、脂肪取りを行っての腫れとしては少ないのではないかと思います。
手術後1週間目の変化です。
上瞼の余分な脂肪がなくなったために、開瞼が容易になっています。手術による腫れも順調に引いてきています。
手術後1ヶ月目のご状態です。
二重の折り返しのところの上眼窩脂肪が減ったことで、二重のラインがハッキリしています。
続きまして、まぶたの変化を見てみましょう。
手術前のご状態です。
アイプチや付けまつ毛を使うと、接着剤の成分でまぶたの皮膚が傷んで、たるんでしまいますので、ご注意ください。
手術直後のご状態です。
針痕が残りますが、皮下出血はごくわずかです。
手術後1週間目の変化です。
皮下出血が少し残りますが、お化粧をしてしまえば分からないくらいだと思います。
手術後1ヶ月目のご状態です。
手術痕がまだ目立ちますが、これから徐々にお傷痕は目立たなくなっていきます。
お知らせ
キャンペーンのおしらせ
ただ今、2月のおすすめ治療を行っております。
宜しければ、チェックしてみてください。
六本木院勤務日のおしらせ
ちなみに、私は2月18日、25日、3月3日、10日、17日、24日、31日、4月7日、14日、21日、28日は六本木院勤務になります。
マシン治療やオペ、注入も、新宿院とほぼ同じ施術が可能です。
宜しければいらっしゃって下さい。
当院のホームページについて
当院のホームページでは、他の施術もたくさん紹介しています。
ご興味のある方は、宜しければ、ご覧になってみてください。
当院のホームページは、
新宿ラクル美容外科クリニックのオフィシャルサイトでご覧いただけます。
また、当院のスタッフブログもありますので、
宜しければれば「ラクル女子部のブログ」もご覧下さい。






