こんばんは。

新宿ラクル美容外科クリニックの山本厚志です。

本日も、朝から夜まで手術および処置が続く一日となりました。
ご来院くださった皆さまに、心より感謝申し上げます。

一件一件の症例に、丁寧に向き合いながら診療を行っております。

混み合う日が続いておりますので、しっかりと集中して臨みたいと思います。
明日も、どうぞ宜しくお願い致します。



 

今日は、「眉下切開法」の術後経過をご紹介いたします。

眉下切開法の症例ご紹介

ご年齢と共に上まぶたが被ってきて、重瞼幅が狭くなって来たことを悩まれていました。
上まぶたの皮膚のたるみが発生すると、眉毛の挙上を認めます。
これは、額のシワが年齢と共に深くなる原因になります。

他院修正のご相談も多い手術なので、
手術をご検討の方は、症例写真でしっかりと確認してから手術に臨まれることをお勧めいたします。

症例のご紹介【ダイジェスト版】-手術前と手術後3ヶ月目の変化

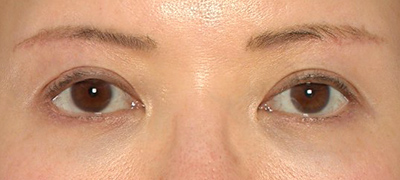
40代女性手術前のご状態です。
新宿ラクル美容外科クリニック 山本厚志 眉下切開法 手術前 2月26日上瞼が重いことを悩まれていました。上瞼のたるみを軽減しようとして、眉毛が挙上しています。
一般的には、ご年齢と共に上まぶたの皮膚が伸びてたるんでくると、皮膚がかぶってきて二重幅が狭くなり、上方向が見えづらくなります。

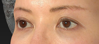
手術後3ヶ月目の変化です。
新宿ラクル美容外科クリニック 山本厚志 眉下切開法 手術後3ヶ月目 4月1日お傷痕の赤みが少し目立たなくなって来ました。上瞼のたるみが減ったことで、目の開きが少し良くなりました。

Before imageAfter image




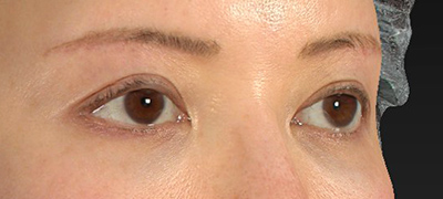
続きまして、斜めからの変化を見てみましょう。
手術前のご状態です。
新宿ラクル美容外科クリニック 山本厚志 眉下切開法 手術前 2月26日眉毛が上がっていても、上瞼のたるみを認めます。
上瞼のたるみが強い場合、二重のライン(重瞼線)で整えても、またたるみがかぶさってくるケースが多いです。

手術後3ヶ月目の変化です。
新宿ラクル美容外科クリニック 山本厚志 眉下切開法 手術後3ヶ月目 4月1日重瞼ラインのかぶさる感じが亡くなり、お目元が若返りました。

Before imageAfter image




次に、反対側のまぶたの変化を見てみましょう。
手術前のご状態です。
新宿ラクル美容外科クリニック 山本厚志 眉下切開法 手術前 2月26日上瞼のたるみが増えると、重瞼線が波打ってきたり、三角目になったりします。皮膚のかぶさりは眉下切開が有効なことが多いです。

手術後3ヶ月目の変化です。
新宿ラクル美容外科クリニック 山本厚志 眉下切開法 手術後3ヶ月目 4月1日こちら側の方が、上瞼のたるみによるかぶさりが強かったですが、改善してきました。

Before imageAfter image



施術概要(眉下切開法)

施術概要
眉毛の下縁に沿って余分な皮膚を切り取り、上まぶたのたるみを改善する施術です。
施術の副作用(リスク)
腫れ(腫脹)、皮下出血、痛み、感染、熱感、眼症状、傷痕、しこり、アレルギー反応。
施術の金額
286,000円(税込)(記事掲載時)

眉下切開法について

眉下切開法は、こんな方におススメです。

「眉下切開法」は、こんな方におススメです。
・年齢による上まぶたのたるみは気になるけど、もともとの目の印象を変えたくないという方
・一重の方が一重のまま、上まぶたのたるみを取りたい方

眉下切開法とは?

「眉下切開法」とは、
眉毛の下縁にそって余分な皮膚を切り取り、上まぶたのたるみを改善する施術です。

二重の方はもちろんですが、奥二重や一重など元々の自分の目の印象を変えずに上まぶたのたるみのみを改善したい方はこの施術が適しています。施術後の腫れが少なく、傷痕も眉毛に隠れて目立ちにくいです。
加齢によってまぶたがたるんできた方、まぶたの腫れぼったさが気になる方にオススメの施術です。
※上まぶたが下垂している場合は、眼瞼下垂の手術が必要です。

毛包斜切断法による眉下切開
当院の眉下切開は毛包斜切断法(もうほうしゃせつだんほう)という切開法で行います。
新宿ラクル美容外科クリニック 山本厚志 「眉下切開法」 
毛包斜切断法は、眉毛の中から下方向へ斜めに切開します。そうすることで毛根を痛めないため手術後に眉毛が生えてきます。
さらに眉毛が生えてくるにしたがい、傷痕が隠れて目立たなくなります。

モニター募集のお知らせ

当院では、ただ今、「眉下切開法」のモニター様を募集しております。
「眉下切開法」
新宿ラクル美容外科クリニック 山本厚志 「眉下切開法」 モニター様 253,000円(税込)(記事掲載時)
ご興味のある方は、ご相談にいらしてください。

「眉下切開法」について詳しくは、新宿ラクル美容外科クリニックオフィシャルサイト「眉下切開法」のページをどうぞ。

症例のご紹介【通常版】-手術前から現在までの経過

続きまして、通常版でご紹介させていただきます。
40代女性手術前のご状態です。
新宿ラクル美容外科クリニック 山本厚志 眉下切開法 手術前 2月26日上瞼が重いことを悩まれていました。上瞼のたるみを軽減しようとして、眉毛が挙上しています。
一般的には、ご年齢と共に上まぶたの皮膚が伸びてたるんでくると、皮膚がかぶってきて二重幅が狭くなり、上方向が見えづらくなります。

手術前のデザインです。
新宿ラクル美容外科クリニック 山本厚志 眉下切開法 デザイン 2月26日眉下皮膚の最大切除幅は右8mm、左7mmでデザインしています。

手術直後の変化です。
新宿ラクル美容外科クリニック 山本厚志 眉下切開法 手術直後 2月26日極細の糸を使用して、丁寧に縫合を行っています。腫れています。

手術後1週間目のご状態です。
新宿ラクル美容外科クリニック 山本厚志 眉下切開法 手術後1週間目 2月26日抜糸直後でお傷の赤みや皮下出血が残ります。皮下出血はご体質によります。
お傷痕をきれいに治すために、手術から抜糸までの期間、軟膏処置をしっかりとしていただく必要があります。

手術後1ヶ月目の変化です。
新宿ラクル美容外科クリニック 山本厚志 眉下切開法 手術後1ヶ月目 2月26日まだ、お傷痕の赤みと硬さが残ります。
眉毛が無駄に上がっていたのが改善し、上瞼のたるみが減ったことで目の開きが良くなり、二重のラインが整ってきました。

手術後2ヶ月目のご状態です。
新宿ラクル美容外科クリニック 山本厚志 眉下切開法 手術後2ヶ月目 2月26日まだお傷痕の赤みが残りますが、眉毛が下がり、目が楽に開いています。また、重瞼線にかぶる皮膚のたるみも軽減しています。

手術後3ヶ月目の変化です。
新宿ラクル美容外科クリニック 山本厚志 眉下切開法 手術後3ヶ月目 4月1日お傷痕の赤みが少し目立たなくなって来ました。上瞼のたるみが減ったことで、目の開きが少し良くなりました。





続きまして、斜めからの変化を見てみましょう。
手術前のご状態です。
新宿ラクル美容外科クリニック 山本厚志 眉下切開法 手術前 2月26日眉毛が上がっていても、上瞼のたるみを認めます。
上瞼のたるみが強い場合、二重のライン(重瞼線)で整えても、またたるみがかぶさってくるケースが多いです。

手術前のデザインです。
新宿ラクル美容外科クリニック 山本厚志 眉下切開法 デザイン 2月26日このようにデザインにしています。上瞼のたるみにより三角目になりつつあります。
傷痕が目立たないようにするためには、丁寧な手術操作が必要な手術です。

手術直後の変化です。
新宿ラクル美容外科クリニック 山本厚志 眉下切開法 手術直後 2月26日手術前と比較して、上まぶたのたるみが軽減し、目の開きが改善しています。
眉毛が下がり、上瞼のたるみが減りました。お傷は可能な限り丁寧に縫合を行っています。

手術後1週間目のご状態です。
新宿ラクル美容外科クリニック 山本厚志 眉下切開法 手術後1週間目 2月26日抜糸直後ですが、お傷の赤みや皮下出血が目立ちます。糸が付いている期間は、軟膏処置をしっかりと行われるとお傷の治りが良いです。

手術後1ヶ月目の変化です。
新宿ラクル美容外科クリニック 山本厚志 眉下切開法 手術後1ヶ月目 2月26日眉毛が下がり、目の開きが良くなったことで、お目元のご印象が良くなりました。
まだ、お傷痕の赤みが目立ちますが、これから徐々に目立たなくなります。

手術後2ヶ月目のご状態です。
新宿ラクル美容外科クリニック 山本厚志 眉下切開法 手術後2ヶ月目 2月26日お傷痕は眉下に隠れるように手術を行っており、お傷痕は少しずつ目立たなくなっていきます。

手術後3ヶ月目の変化です。
新宿ラクル美容外科クリニック 山本厚志 眉下切開法 手術後3ヶ月目 4月1日

重瞼ラインのかぶさる感じが亡くなり、お目元が若返りました。




次に、反対側のまぶたの変化を見てみましょう。
手術前のご状態です。
新宿ラクル美容外科クリニック 山本厚志 眉下切開法 手術前 2月26日上瞼のたるみが増えると、重瞼線が波打ってきたり、三角目になったりします。皮膚のかぶさりは眉下切開が有効なことが多いです。

手術前のデザインです。
新宿ラクル美容外科クリニック 山本厚志 眉下切開法 デザイン 2月26日眉毛の範囲内だけで切除幅を大きくするとdog earと言って傷の断端に盛り上がりができやすくなるので、難しいところです。
どこにどれくらいのたるみが発生しているのかを見極めて、デザインを行う必要があります。

手術直後の変化です。
新宿ラクル美容外科クリニック 山本厚志 眉下切開法 手術直後 2月26日こちら側も、上まぶたのたるみが減り、眉毛が下がり、上瞼のたるみが減りました。
お傷痕をきれいに治すために、抜糸までの軟膏処置が重要になります。

手術後1週間目のご状態です。
新宿ラクル美容外科クリニック 山本厚志 眉下切開法 手術後1週間目 2月26日年齢と共に上まぶたのたるみが強くなりますが、眉下切開法で見た目の若々しさを取り戻すことが可能です。
お傷痕の経過は、注意深く見守る必要がある手術です。

手術後1ヶ月目の変化です。
新宿ラクル美容外科クリニック 山本厚志 眉下切開法 手術後1ヶ月目 2月26日眉毛が下がりました。上瞼のたるみが減ったことで、重瞼線が整ってきました。
お傷痕の硬さと赤みがまだ残ります。

手術後2ヶ月目のご状態です。
新宿ラクル美容外科クリニック 山本厚志 眉下切開法 手術後2ヶ月目 2月26日眉毛が下がっていますが、重瞼線(二重のライン)のすぐ上のたるみは改善傾向です。

手術後3ヶ月目の変化です。
新宿ラクル美容外科クリニック 山本厚志 眉下切開法 手術後3ヶ月目 4月1日こちら側の方が、上瞼のたるみによるかぶさりが強かったですが、改善してきました。




お知らせ

キャンペーンのお知らせ

ただ今、4月のおすすめ治療を行っております。
4月のおすすめ治療 新宿ラクル美容外科クリニック 山本厚志宜しければ、チェックしてみてください。

六本木院勤務日のおしらせ

新宿ラクル美容外科クリニック 山本厚志 六本木院

ちなみに、私は4月7日、14日、21日、28日、5月5日、12日、19日、26日六本木院勤務になります。

マシン治療やオペ、注入も、新宿院とほぼ同じ施術が可能です。
宜しければいらっしゃって下さい。

当院のホームページについて

当院のホームページでは、他の施術もたくさん紹介しています。
ご興味のある方は、宜しければ、ご覧になってみてください。

当院のホームページは、
新宿ラクル美容外科クリニックのオフィシャルサイトでご覧いただけます。

また、当院の「公式Instagram」も宜しければご覧下さい。