こんばんは。
新宿ラクル美容外科クリニックの山本厚志です。
今日も朝から夜まで手術と処置が続き、満員御礼状態でした。
たくさんのご来院、大変ありがとうございます。
また、ここ数日では、マレーシア、静岡県からのご来院がありました。
ご遠方からのご来院、とても励みになります。
忙しい日が続いていますが、丁寧な診療を心がけていきますので、
明日も、どうぞ宜しくお願いいたします。
今日は、「全切開法二重術+上まぶたのたるみ取り+目頭切開」の術後経過を紹介します。
全切開法二重術+上まぶたのたるみ取り+目頭切開の症例ご紹介
症例は10代女性。
3年前に他院で埋没法二重術を受けられて、奥二重になっていました。
もう少し幅の広い二重を希望され、「全切開二重術」をご検討されていました。
今回は、「全切開法二重術+上まぶたの脂肪取り+目頭切開」での改善を目指すことになりました。
症例のご紹介【ダイジェスト版】-手術前と12ヶ月目の変化
まずは、ダイジェスト版でご紹介いたします。
手術前のご状態です。
上眼窩脂肪が多いために、奥二重ですが、二重に見えないことを悩まれていました。平行型二重を作っていきたいと思います。蒙古ひだのかぶりも気にされていました。
手術後12ヶ月目の変化です。
平行型の二重になりました。以前の奥二重の線が目立たなくなるように処理を行っております。


次に、閉眼時の画像をご覧いただきます。
手術前のご状態です。
お傷痕が目立たないように丁寧な手術を心がけたいと思います。
手術後12ヶ月目の変化です。
術後1年が経過して、お傷痕はほとんど分からなくなりました。


施術概要(全切開法二重術)
- 施術概要
- 二重のラインを予測してシワに沿って切開し、半永久的に二重の効果が持続する二重術です。
- 施術の副作用(リスク)
- 腫れ(腫脹)、皮下出血、感染、眼症状(目の違和感、涙の増加など)、傷痕、しこり
- 施術の金額
- 275,000円(税込)(記事掲載時)
目頭切開
- 施術概要
- 上まぶたの内側から目頭にかけて覆いかぶさっている皮膚(蒙古ひだ)を取り除く施術です。
- 施術の副作用(リスク)
- 腫れ(腫脹)、皮下出血、痛み、感染、眼症状(目の違和感、涙の増加など)、傷痕、しこり
- 施術の金額
- 113,850円(片側)~187,000円(両側)(税込)(記事掲載時)
全切開法二重術について
全切開法二重術は、こんな方にオススメです。
「全切開法二重術」は、こんな方におススメです。
・埋没法を何度か繰り返したが、元に戻ってしまった方。
・二重のラインを長期的に持続したい方。
・皮膚の余りや皮下の厚みがあり、埋没法だけでは綺麗な二重まぶたに出来ない方。
・上眼窩脂肪や隔膜前脂肪が多く、腫れぼったい上まぶたの方。
全切開法二重術とは?
「全切開法二重術」とは、
全切開法二重術は、上まぶたに皮膚の余りや脂肪が多い場合や、埋没法を受けたけど外れてしまったという場合に適した手術方法です。
当院の全切開法二重術では、二重の食い込みを抑えて、重瞼線で段差ができにくい術式で手術を行っております。
つまり、バレバレな二重にはなりにくい方法を採用しております。
幅広の二重をご希望の場合、埋没法よりも全切開法二重術の方が、よりナチュラルな仕上がりになります。
全切開法二重術をご希望される場合、
腫れぼったい上まぶたをスッキリさせたいというリクエストが非常に多いです。
腫れぼったい上まぶたの原因としては、
皮膚、眼輪筋、眼窩脂肪、隔膜前脂肪(ROOFを含む)があります。
腫れぼったい上まぶたの改善には限界がありますが、
上眼窩脂肪だけではなく、眼輪筋や隔膜前脂肪も必要があれば切除し、
スッキリしたお目元になるように心がけて手術を行っています。
モニター募集のお知らせ
当院では、ただ今、「全切開法二重術」のモニター様を募集しております。
全切開法二重術
部分モニター様 235,000円(税込)(記事掲載時)
ご興味のある方は、ご相談にいらしてください。
「全切開法二重術」について詳しくは、新宿ラクル美容外科クリニックオフィシャルサイト「全切開法二重術」のページをどうぞ。
当院では、ただ今、「目頭切開法」のモニター様も募集しております。
「目頭切開」
部分モニター様 154,000円(両側)(税込)(記事掲載時)
ご興味のある方は、ご相談にいらしてください。
「目頭切開」について詳しくは、新宿ラクル美容外科クリニックオフィシャルサイト「目頭切開」のページをどうぞ。
症例のご紹介【通常版】-手術前から現在までの経過
続きまして、通常版でご紹介いたします。
手術前のご状態です。
上眼窩脂肪が多いために、奥二重ですが、二重に見えないことを悩まれていました。平行型二重を作っていきたいと思います。蒙古ひだのかぶりも気にされていました。
デザインです。
このようなデザインを行いました。目頭から一定の距離で重瞼幅が揃うようにしています。
手術直後のご状態です。
麻酔液と手術操作により腫れが出ています。この方は、皮下出血が出やすいご体質のようです。
手術後1週間目の変化です。
抜糸直後のご状態です。まだ腫れと皮下出血が残ります。
手術後1ヶ月目のご状態です。
腫れが少しずつ引いて来ています。腫れの左右差は徐々に落ち着いていきます。
手術後2ヶ月目の変化です。
自然な二重のラインが完成しました。目の上の脂肪を切除したことで、重瞼線の上に乗る脂肪が少なくなり、目の開きが改善傾向です。目頭切開で蒙古ひだのかぶりが減りました。
手術後3ヶ月目のご状態です。
腫れが引いてきて、二重のラインが落ち着いてきました。目頭切開を行ったことで、平行型二重のラインになりました。
手術後6ヶ月目のご状態です。
腫れが引いて、二重のラインが整ってきました。
手術後12ヶ月目の変化です。
平行型の二重になりました。以前の奥二重の線が目立たなくなるように処理を行っております。
次に、閉眼時の画像をご覧いただきます。
手術前のご状態です。
お傷痕が目立たないように丁寧な手術を心がけたいと思います。
デザインです。
このようなデザインにしました。自然な二重のラインになるようにしました。
手術直後のご状態です。
皮下出血が出ています。極細の糸で丁寧に縫合しています。お傷を綺麗に治すために、抜糸までの1週間は、軟膏処置をしっかりと行って頂きます。
手術後1週間目の変化です。
抜糸直後のご状態です。丁寧に縫合しておりますので、最終的にはほとんど分からなくなると思います。
手術後1ヶ月目のご状態です。
創傷治癒過程を考えたら、手術後1ヶ月目は、創部の赤みや硬さが出やすい時期ですが、経過としては悪くないです。お傷は綺麗に治ると思います。
手術後2ヶ月目の変化です。
お傷痕は、赤みが引いて、しわのようになり、かなり分かりにくくなりました。お色味は、今後、時間の経過とともに、さらに薄くなります。
手術後3ヶ月目のご状態です。
お傷痕の赤みが引いて、徐々に目立たなくなってきました。
手術後6ヶ月目のご状態です。
お傷痕の赤みと硬さが少しずつ取れてきました。
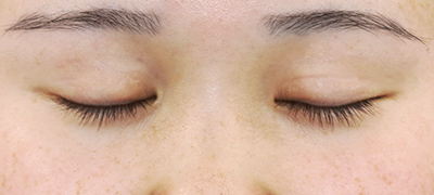
手術後12ヶ月目の変化です。
術後1年が経過して、お傷痕はほとんど分からなくなりました。
お知らせ
キャンペーンのおしらせ
ただ今、10月のおすすめ治療を行っております。
宜しければ、チェックしてみてください。
六本木院勤務日のおしらせ
ちなみに、私は11月5日、12日、19日、26日、12月3日、10日、17日、24日は六本木院勤務になります。
マシン治療やオペ、注入も、新宿院とほぼ同じ施術が可能です。
宜しければいらっしゃって下さい。
当院のホームページについて
当院のホームページでは、他の施術もたくさん紹介しています。
ご興味のある方は、宜しければ、ご覧になってみてください。
当院のホームページは、
新宿ラクル美容外科クリニックのオフィシャルサイトでご覧いただけます。
また、当院の「公式Instagram」も宜しければご覧下さい。






