こんばんは。
新宿ラクル美容外科クリニックの山本厚志です。
今日も、朝から夜まで手術が続き、大変忙しい一日を過ごすことが出来ました。
沢山のご来院、本当に感謝しております。
安全第一を最優先にして、しっかりと結果を出していきたいと思います。
今月後半も、どうぞ宜しくお願い致します。
今日は、「眉下切開法+ROOF脂肪切除」の術後経過をご紹介いたします。
眉下切開法+ROOF脂肪切除の症例ご紹介
徐々に上まぶたが被ってきて、重瞼幅が狭くなって来たことを悩まれていました。
上まぶたの皮膚のたるみが発生したことにより、眉毛の挙上を認めます。
これは、額のシワが年齢と共に深くなる原因になります。
症例のご紹介【ダイジェスト版】-手術前と手術後12ヶ月目の変化
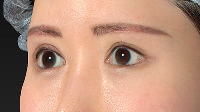
20代女性の手術前のご状態です。
目の上が膨らんでいることと(ROOF脂肪によるボリュームと考えられました)、皮膚が被ってきて重瞼幅が狭くなって来たことを悩まれていました。
手術後12ヶ月目の変化です。
眉が下がり、目の上の膨らみがスッキリしてきました。眉下切開のお傷痕も、よく分からなくなりました。


続きまして、斜めからの変化を見てみましょう。
手術前のご状態です。
上まぶたの被りで重瞼幅が狭くなって来たことを気にされていました。重瞼幅を広げても、上から皮膚が被さってくると、再度重瞼幅は狭くなってしまいます。
手術後12ヶ月目の変化です。
目と眉の距離が近くなりました。目の上の腫れぼったさが改善しています。眉毛が下がり、楽に目が開くようになりました。


次に、反対側のまぶたの変化を見てみましょう。
手術前のご状態です。
上まぶたのたるみにより重瞼幅が狭くなっていたご状態です。また、ROOF脂肪が多いと、目の上のパンパン感が出てしまいます。
手術後12ヶ月目の変化です。
眉毛が下がると言うことは、額のしわの軽減につながります。また、目の上の皮膚が余っていて目の開きが悪い場合は、「眉下切開」で目の開きが改善します。


施術概要(眉下切開法)
- 施術概要
- 眉毛の下縁に沿って余分な皮膚を切り取り、上まぶたのたるみを改善する施術です。
- 施術の副作用(リスク)
- 腫れ(腫脹)、皮下出血、痛み、感染、熱感、眼症状、傷痕、しこり、アレルギー反応。
- 施術の金額
- 286,000円(税込)(記事掲載時)
眉下切開法について
眉下切開法は、こんな方におススメです。
「眉下切開法」は、こんな方におススメです。
・年齢による上まぶたのたるみは気になるけど、もともとの目の印象を変えたくないという方
・一重の方が一重のまま、上まぶたのたるみを取りたい方
眉下切開法とは?
「眉下切開法」とは、
眉毛の下縁にそって余分な皮膚を切り取り、上まぶたのたるみを改善する施術です。
二重の方はもちろんですが、奥二重や一重など元々の自分の目の印象を変えずに上まぶたのたるみのみを改善したい方はこの施術が適しています。施術後の腫れが少なく、傷痕も眉毛に隠れて目立ちにくいです。
加齢によってまぶたがたるんできた方、まぶたの腫れぼったさが気になる方にオススメの施術です。
※上まぶたが下垂している場合は、眼瞼下垂の手術が必要です。
毛包斜切断法による眉下切開
当院の眉下切開は毛包斜切断法(もうほうしゃせつだんほう)という切開法で行います。

毛包斜切断法は、眉毛の中から下方向へ斜めに切開します。そうすることで毛根を痛めないため手術後に眉毛が生えてきます。
さらに眉毛が生えてくるにしたがい、傷痕が隠れて目立たなくなります。
モニター募集のお知らせ
当院では、ただ今、「眉下切開法」のモニター様を募集しております。
「眉下切開法」
モニター様 253,000円(税込)(記事掲載時)
ご興味のある方は、ご相談にいらしてください。
「眉下切開法」について詳しくは、新宿ラクル美容外科クリニックオフィシャルサイト「眉下切開法」のページをどうぞ。
症例のご紹介【通常版】-手術前から現在までの経過
続きまして、通常版でご紹介させていただきます。
20代女性の手術前のご状態です。
目の上が膨らんでいることと(ROOF脂肪によるボリュームと考えられました)、皮膚が被ってきて重瞼幅が狭くなって来たことを悩まれていました。
手術前のデザインです。
左側の最大切除幅は約7mmで、右側の最大皮膚切除幅は約6mmでデザインしています。
手術直後の変化です。
手術直後で、腫れと皮下出血を認めます。血液がにじんでいるところが黒く見えますが、極細の糸で丁寧に縫合しております。見えないところの皮下埋没縫合を吸収糸(1年程度で吸収)で行うのですが、ここをいかに丁寧に縫合するかで仕上がりが決まると思います。
手術後1週間目のご状態です。
抜糸直後でお傷の赤みや硬さが目立ちます。術後にセベリアバームなどを塗布することによって、赤みは引きやすくなります。
手術後1ヶ月目の変化です。
目の開きが改善して、眉毛が下がりました。術後1ヶ月目は、お傷の赤みと硬さが一番目立つ時期です。お傷周囲の眉毛が一時的に抜ける方がいらっしゃいますが、また生えて来ます。
手術後2ヶ月目のご状態です。
眉下切開のお傷痕は徐々に目立たなくなりつつあります。眉下に腫れが残ります。
手術後3ヶ月目の変化です。
手術前と比較して、重瞼幅が広がり、眉が下がっています。また、目の上外側の膨らみも改善しています。お傷痕は徐々に目立たなくなって来ました。
手術後6ヶ月目のご状態です。
術前と比較して、眉毛が下がり、無駄な眉毛の挙上が無くなりました。これにより、額のシワの予防になります。お傷痕はかなり目立たなくなって来ました。
手術後12ヶ月目の変化です。
眉が下がり、目の上の膨らみがスッキリしてきました。眉下切開のお傷痕も、よく分からなくなりました。
続きまして、斜めからの変化を見てみましょう。
手術前のご状態です。
上まぶたの被りで重瞼幅が狭くなって来たことを気にされていました。重瞼幅を広げても、上から皮膚が被さってくると、再度重瞼幅は狭くなってしまいます。
手術前のデザインです。
写真の様なデザインにしました。たるみの程度から、眉毛の範囲内でデザインしました。傷痕が目立たないようにするためには、丁寧な手術が要求される手術です。
手術直後の変化です。
術直後で腫れがありますが、手術前と比較して、上まぶたのたるみが軽減し、眉毛が下がっています。お傷はかなり丁寧に縫合を行っています。
手術後1週間目のご状態です。
抜糸直後で、お傷の赤みと硬さが目立ちます。糸が付いている期間は、軟膏処置をしっかりと行われると、抜糸後の赤みが少ないように思います。
手術後1ヶ月目の変化です。
術後1ヶ月目は、お傷痕の硬さと赤みが目立つ時期ですが、これから徐々に目立たなくなっていきます。
手術後2ヶ月目のご状態です。
術後1ヶ月目と比較すると、お傷の赤みや硬さが徐々に取れてきて、お傷痕が目立たなくなって来ました。
手術後3ヶ月目の変化です。
術後3ヶ月が経過して、お傷痕が徐々に目立たなくなって来ました。眉毛が下がり、重瞼幅が広がりました。また、ROOF脂肪による膨らみと思われた眉下外側の膨らみも改善しています。
手術後6ヶ月目のご状態です。
眉毛が下がり、無理に目を見開かなくても、楽に目が開いているご印象でした。「毛包斜切断法」を行っているので、お傷痕付近から眉毛が生えてきて、お傷痕はかなり目立たなくなって行きます。
手術後12ヶ月目の変化です。
目と眉の距離が近くなりました。目の上の腫れぼったさが改善しています。眉毛が下がり、楽に目が開くようになりました。
次に、反対側のまぶたの変化を見てみましょう。
手術前のご状態です。
上まぶたのたるみにより重瞼幅が狭くなっていたご状態です。また、ROOF脂肪が多いと、目の上のパンパン感が出てしまいます。
手術前のデザインです。
眉毛の範囲内だけで切除幅を大きくするとdog earと言って傷の断端に盛り上がりができやすくなるので、難しいところです。どこにどれくらいのたるみが発生しているのかを見極めて、デザインを行う必要があります。今回は、切開線の横幅は眉毛の範囲に収まりました。
手術直後の変化です。
こちら側も、上まぶたのたるみが減り、眉毛が下がりました。術後の赤みを早く引かせるためには、抜糸までの抗生剤入りの軟膏処置が重要になります。お傷痕の端がdog earにならないように丁寧に縫合を行っています。
手術後1週間目のご状態です。
眉下切開法で見た目の若々しさを取り戻すことが可能です。お傷痕の経過は、注意深く見守る必要がある手術です。
手術後1ヶ月目の変化です。
上まぶたの被りが改善しています。視界が改善されたとのことでした。術後1ヶ月目は、お傷痕が目立つ時期ですが、これから徐々に目立たなくなると思われます。
手術後2ヶ月目のご状態です。
上まぶたの被りが改善しています。お傷のところは、毛包斜切断法を行っているので、お傷痕周囲から眉毛が生えてきて、お傷痕は徐々に目立たなくなっていきます。
手術後3ヶ月目の変化です。
目の上の皮膚のたるみが減り、重瞼幅が広がりました。また、ROOF脂肪を切除したことにより、目の上の腫れぼったい感じが無くなりました。
手術後6ヶ月目のご状態です。
術前と比較して良い変化になりました。楽に開瞼が出来ているご印象です。お傷痕も目立たなくなりました。
手術後12ヶ月目の変化です。
眉毛が下がると言うことは、額のしわの軽減につながります。また、目の上の皮膚が余っていて目の開きが悪い場合は、「眉下切開」で目の開きが改善します。
お知らせ
キャンペーンのお知らせ
ただ今、5月のおすすめ治療を行っております。
宜しければ、チェックしてみてください。
六本木院勤務日のおしらせ
ちなみに、私は5月31日、6月7日、14日、21日、28日、7月5日、12日、19日、26日は六本木院勤務になります。
マシン治療やオペ、注入も、新宿院とほぼ同じ施術が可能です。
宜しければいらっしゃって下さい。
当院のホームページについて
当院のホームページでは、他の施術もたくさん紹介しています。
ご興味のある方は、宜しければ、ご覧になってみてください。
当院のホームページは、
新宿ラクル美容外科クリニックのオフィシャルサイトでご覧いただけます。
また、当院のスタッフブログもありますので、
宜しければ「ラクル女子部のブログ」もご覧下さい。






