こんばんは。
新宿ラクル美容外科クリニックの山本厚志です。
2月が始まりましたが、本日も、年末並みに朝から夜まで手術と処置が続き、
大変忙しく一日を過ごすことが出来ました。
たくさんのご来院、大変ありがとうございます。
また、本日は、富山県からのご来院がありました。
ご遠方からのご来院、感謝しております。
明日も、手術と処置が続きます。
朝から集中して臨みたいと思いますので、どうぞ宜しくお願い致します。
今日は、「眉下切開法」の術後経過をご紹介いたします。
眉下切開法の症例ご紹介
ご年齢とともに上まぶたが被ってきてしまい、視界が悪いとのことでした。
上まぶたの皮膚のたるみが発生したことにより、眉毛の挙上を認めます。
これにより、額のシワが年齢と共に深くなっていきます。
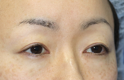
症例のご紹介【ダイジェスト版】-手術前と手術後12ヶ月目の変化
40代女性の手術前のご状態です。
ご年齢と共に上まぶたの皮膚が伸びてたるんでくると、上まぶたの皮膚がかぶってきて二重幅が狭くなります。これをカバーしようとして、眉毛が上がるようになり、それにより額のシワが出やすくなるという悪循環に陥ります。左まぶたの方が皮膚の被りが強いご状態です。
手術12ヶ月目の変化です。
お傷は至近距離で見ても良く分からなくなっています。「眉下切開」は、お傷のコントロールがとても難しい手術の一つです。開瞼が容易になっており、良い感じに見えます。


続きまして、斜めからの変化を見てみましょう。
手術前のご状態です。
上まぶたのたるみが原因で、二重が狭くなるのをカバーしようとして眉毛が上がってしまいます。
手術12ヶ月目の変化です。
上眼瞼のたるみが軽減したことで、目の形が良くなりました。


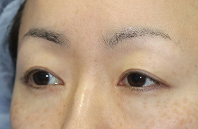
次に、反対側のまぶたの変化を見てみましょう。
手術前のご状態です。
上まぶたにたるみが出てくると、上方の視界が悪くなり、頭痛や肩こりの原因になります。特に左側の上まぶたがたるんでいました。
手術12ヶ月目の変化です。
手術前と比較して、眉毛がさがり、上まぶたのたるみが減り、目の開きが良くなっています。


施術概要(眉下切開法)
- 施術概要
- 眉毛の下縁に沿って余分な皮膚を切り取り、上まぶたのたるみを改善する施術です。
- 施術の副作用(リスク)
- 腫れ(腫脹)、皮下出血、痛み、感染、熱感、眼症状、傷痕、しこり、アレルギー反応。
- 施術の金額
- 286,000円(税込)(記事掲載時)
眉下切開法について
眉下切開法は、こんな方におススメです。
「眉下切開法」は、こんな方におススメです。
・年齢による上まぶたのたるみは気になるけど、もともとの目の印象を変えたくないという方
・一重の方が一重のまま、上まぶたのたるみを取りたい方
眉下切開法とは?
「眉下切開法」とは、
眉毛の下縁にそって余分な皮膚を切り取り、上まぶたのたるみを改善する施術です。
二重の方はもちろんですが、奥二重や一重など元々の自分の目の印象を変えずに上まぶたのたるみのみを改善したい方はこの施術が適しています。施術後の腫れが少なく、傷痕も眉毛に隠れて目立ちにくいです。
加齢によってまぶたがたるんできた方、まぶたの腫れぼったさが気になる方にオススメの施術です。
※上まぶたが下垂している場合は、眼瞼下垂の手術が必要です。
毛包斜切断法による眉下切開
当院の眉下切開は毛包斜切断法(もうほうしゃせつだんほう)という切開法で行います。

毛包斜切断法は、眉毛の中から下方向へ斜めに切開します。そうすることで毛根を痛めないため手術後に眉毛が生えてきます。
さらに眉毛が生えてくるにしたがい、傷痕が隠れて目立たなくなります。
モニター募集のお知らせ
当院では、ただ今、「眉下切開法」のモニター様を募集しております。
「眉下切開法」
モニター様 253,000円(税込)(記事掲載時)
ご興味のある方は、ご相談にいらしてください。
「眉下切開法」について詳しくは、新宿ラクル美容外科クリニックオフィシャルサイト「眉下切開法」のページをどうぞ。
症例のご紹介【通常版】-手術前から現在までの経過
続きまして、通常版でご紹介させていただきます。
40代女性の手術前のご状態です。
ご年齢と共に上まぶたの皮膚が伸びてたるんでくると、上まぶたの皮膚がかぶってきて二重幅が狭くなります。これをカバーしようとして、眉毛が上がるようになり、それにより額のシワが出やすくなるという悪循環に陥ります。左まぶたの方が皮膚の被りが強いご状態です。
手術前のデザインです。
右側の最大切除幅は8㎜、左側の最大切除幅は8.5㎜でデザインしました。
手術直後の変化です。
手術直後の腫れはこの程度です。血液がにじんでいるところが黒く見えますが、極細の糸で丁寧に縫合しております。
手術後1週間目のご状態です。
抜糸が終わり、まだ赤みが残りますが、手術前のご状態と比較して、眉毛が下がり、上まぶたの皮膚の被りが軽減しています。目の開きも明らかに改善しています。
手術後1ヶ月目の変化です。
術後1ヶ月目は、傷痕の硬さや赤みが出やすい時期です。お傷痕は、これから徐々に時間をかけて目立たなくなって行きます。
手術後2ヶ月目のご状態です。
眉下のお傷痕が少しずつ目立たなくなっています。上まぶたのたるみが改善して、目が開きやすくなっています。眉毛も下がっています。
手術後3ヶ月目の変化です。
眉の下縁に沿った傷痕はかなり目立たなくなってきました。眉毛は顕著に低くなっています。
手術後6ヶ月目のご状態です。
上まぶたのたるみが減ったことで、眉毛がさがり、目が開きやすくなっています。お傷の経過は良好です。
手術12ヶ月目の変化です。
お傷は至近距離で見ても良く分からなくなっています。「眉下切開」は、お傷のコントロールがとても難しい手術の一つです。開瞼が容易になっており、良い感じに見えます。
続きまして、斜めからの変化を見てみましょう。
手術前のご状態です。
上まぶたのたるみが原因で、二重が狭くなるのをカバーしようとして眉毛が上がってしまいます。
手術前のデザインです。
デザインはいつも悩ましいですが、もっとも重要なところです。傷痕が目立たないように、丁寧な手術が要求される手術です。
手術直後の変化です。
手術前と比較して、上まぶたのたるみが軽減し、眉毛が下がっています。
手術後1週間目のご状態です。
「目が開きやすくなった!」と、写真撮影の時に喜んで頂けました。眉下切開のお傷は、最終的には、ほとんど分からなくなると思われます。
手術後1ヶ月目の変化です。
手術前と比較すると、眉毛が下がり、上まぶたのたるみも軽減しています。お傷が目立たなくなるまで今しばらくお待ちくださいませ。
手術後2ヶ月目のご状態です。
目が開きにくいことの原因が、全て眼瞼下垂ではないということが良く分かる症例です。
手術後3ヶ月目の変化です。
上眼瞼のたるみが改善しています。皮膚切除のデザインとしては、悪くなかったのではないかと思います。
手術後6ヶ月目のご状態です。
上まぶたのたるみが原因で眉毛が上がるようになっていましたが、それが改善しています。
手術12ヶ月目の変化です。
上眼瞼のたるみが軽減したことで、目の形が良くなりました。
次に、反対側のまぶたの変化を見てみましょう。
手術前のご状態です。
上まぶたにたるみが出てくると、上方の視界が悪くなり、頭痛や肩こりの原因になります。特に左側の上まぶたがたるんでいました。
手術前のデザインです。
眉毛の範囲内だけで切除幅を大きく取るとdog ear(わんちゃんの耳)と言って傷の断端に盛り上がりができやすくなるので、難しいところです。
手術直後の変化です。
こちら側も、上まぶたのたるみが減り、眉毛が下がりました。抜糸までは、軟膏処置が必要です。
手術後1週間目のご状態です。
年齢と共に上まぶたのたるみが強くなり、目が三角形になって来ますが、眉下切開法で見た目の若々しさを取り戻すことが可能です。
手術後1ヶ月目の変化です。
上まぶたの皮膚がたるんで、その重さで、目が開きにくくなっていました。楽に目が開くようになりました。
手術後2ヶ月目のご状態です。
このくらいのお傷痕なら、メイクで分からなく出来ると思います。もちろん、時間をかけて、お傷はもっと目立たなくなっています。
手術後3ヶ月目の変化です。
お傷痕が少しでも目立たなくなるように、あの手この手を駆使して手術を行っています。
手術後6ヶ月目のご状態です。
最終的に、お傷痕はかなり綺麗に治りそうです。開瞼も改善しています。
手術12ヶ月目の変化です。
手術前と比較して、眉毛がさがり、上まぶたのたるみが減り、目の開きが良くなっています。
お知らせ
キャンペーンのお知らせ
ただ今、2月のおすすめ治療を行っております。
宜しければ、チェックしてみてください。
六本木院勤務日のおしらせ
ちなみに、私は2月4日、11日、18日、25日、3月3日、10日、17日、24日、31日は六本木院勤務になります。
マシン治療やオペ、注入も、新宿院とほぼ同じ施術が可能です。
宜しければいらっしゃって下さい。
当院のホームページについて
当院のホームページでは、他の施術もたくさん紹介しています。
ご興味のある方は、宜しければ、ご覧になってみてください。
当院のホームページは、
新宿ラクル美容外科クリニックのオフィシャルサイトでご覧いただけます。
また、当院のスタッフブログもありますので、
宜しければ「ラクル女子部のブログ」もご覧下さい。






